Äϲý°µºìÉ«¶»Ó¡Ôõôȥ³ý
À´Ô´£ºÄϲýÖÐɽƤ·ô²¡Ò½Ôº¡¾×¨¼ÒÔÚÏß×Éѯ¡¿

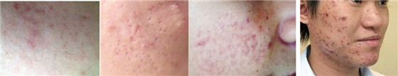
¶»Ó¡¶¼ÓÐÄóÖÖÀ࣬ÔõÑùÈ¥³ý?¶»Ó¡(¶»°Ì)ÊÇÓÉÓÚ·¢Ñ׸ÐȾ»òÕßÍⲿѹÁ¦Ëùµ¼Öµģ¬³£³£ÊÇÓÉÓÚÔÚÇà´º¶»³öÏÖʱûÓм°Ê±ºÏÀíµÄÒ½ÖΣ¬µ¼ÖÂ¶ÔÆ¤·ô×éÖ¯²úÉúÁËÆÆ»µ£¬ËùÒÔÐγÉÁ˰̺ۡ£ÒòΪÇà´º¶»ÓкܶàÖÖÀ࣬ËùÒÔ¶»Ó¡µÄÐÎʽҲÓкü¸ÖÖ£¬ÈôÇà´º¶»·¢Ñ×Ô½ÑÏÖØ£¬ÔòƤ·ôÒ²±»ÆÆ»µµÄÔ½À÷º¦£¬Î´À´¿ÉÄÜ»áÁôÏµĶ»Ó¡»áÔ½ÑÏÖØ¡£

¶»Ó¡µÄÖ¢×´±íÏÖ
ÄϲýÈ¥³ý¶»Ó¡×îºÃ×îÓÐЧµÄ·½·¨ÊÇʲô£¿µã»÷×ÉѯÔÚÏßר¼Ò
¶»ºÛµÄ¼¸´óÖÖÀà
1¡¢ÇáÐÍÇà´º¶»°ÌºÛ
ºÜ³£¼û£¬ÊÇÓÉÓÚ³¤ÆÚµÄÑ×Ö¢(ðî´¯)·´¸´·¢Éú£¬Ê¹¾Ö²¿ÓÐÉ«ËØµÄ³Á×Å¡¢ÍÑʧ¡¢°ÌºÛ×éÖ¯ÔöÉú»ò¾Ö²¿×é֯ȱËð(°¼ÏÝ)£¬ÒÔ¼°¾Ö²¿µÄ΢Ѫ¹ÜÔöÉúÀ©ÕÅ¡£Íâ¹Û¿´ÆðÀ´ÊÇÉîdz²»Ò»µÄ¿§·ÈÉ«¡¢°×É«¡¢µºìÉ«°¼ÏÝ»òÍ»Æð¡£Æ¤·ô´Ö²Ú¡£
2¡¢ÔöÉúÐÔÇà´º¶»°ÌºÛ
ÉÙÊý»¼Õß»á³öÏÖÔÚÐØ²¿¡¢±³²¿£¬»òÕßÃæ²¿µÄÈù²¿£¬ÓÐðî´¯»òÕßÊÜÉË£¬ºÜÈÝÒ×¹ý¶È´Ì¼¤°ÌºÛ×éÖ¯µÄÔöÉú£¬±íÏÖΪ·Ê´ó¶øÍ¹Æð£¬¶øÇÒ³£³£·ººì¡£ÉÙÊýÈËÊǰ̺ÛÌåÖÊ£¬¾Í¸üÈÝÒ×ÐγÉÔöÉúÐԵİ̺ۡ£
3¡¢Î®ËõÐÔÇà´º¶»°ÌºÛ
¶àÊýΪ»¤Àí²»µÃµ±µÄ»¼Õߣ¬±ÈÈ磺²ÉÓò»µÃµ±µÄ·½·¨¼·Ñ¹¡¢¿Û³ýµÈ£¬ÔÓеÄðî´¯¸ÐȾ²»µ«Ã»ÓмõÇá·´¶ø¼ÓÖØ£¬»òÕß²¡Çé±È½ÏÖØµÄðî´¯£¬Ã»Óеõ½¼°Ê±µÄÓÐЧÖÎÁƵȣ¬¶¼¿É³öÏÖ¾Ö²¿µÄήËõÐ԰̺ۡ£
ÄϲýÖÐɽƤ·ô²¡Ò½Ôº×¨¼Ò±íʾ£¬¶»Ó¡ÊÇÕæÐ԰̺ۣ¬Ò»µ©ÐγÉÎÞ·¨½øÐÐ×ÔÎÒÐÞ¸´£¬½ÓÊÜרҵÖÎÁƲÅÄܱ£Õ϶»Ó¡ÓÐЧ»Ö¸´£¬Ä¿Ç°³£¼ûµÄ¶»Ó¡ÐÞ¸´·½·¨ÓÐÒÔϼ¸ÖÖ£º
Ò»¡¢Ò©ÎïͿĨÖÎÁÆ
²¿·Ö»¼ÕßÔÚ¶Ô¿¹¼²²¡Ê±£¬³öÓÚ·½±ã¡¢¼õÇáÖÎÁÆÍ´¿à¡¢½ÚÊ¡ÖÎÁÆ·ÑÓÃµÈ¶à·½ÃæÒòËØ£¬Ï°¹ßÐÔµÄÓÅÏÈÑ¡ÔñÓÃÒ©ÎïͿĨ·¨½øÐÐÖÎÁÆ¡£Ò©ÎïͿĨÖÎÁƶÔÇá΢¼ÙÐ԰̺ÛÐÞ¸´Äܹ»»ñµÃ½ÏºÃÐÞ¸´Ð§¹û£¬¶ø¶»Ó¡¶»¿ÓÊôÓÚÕæÐ԰̺ۣ¬Ò»µ©Ðγɣ¬¿¿Ò©ÎïͿĨ£¬Æð²»µ½ÓÐЧ×÷Óá£
¶þ¡¢´«Í³´Ì¼¤ÀíÂÛÐÞ¸´¶»Ó¡¶»¿Ó
ÀûÓÃËðÉËÐÞ¸´ÔÀí£¬´Ì¼¤¶»Ó¡¶»¿Óµ×²¿µÄȱʧ×éÖ¯ÏòÉÏÔöÉú£¬ÀûÓÃÐÂÉú×éÖ¯À´ÌîÆ½¶»¿Ó¡£´«Í³¼¤¹âÐÞ¸´ÒÔÈ˹¤½øÐнϴóÃæ»ýµÄ×éÖ¯°þÍѵķ½Ê½½øÐУ¬È»¶øÕâÖÖ·½·¨¶ÔƤ·ôµÄÆÆ»µÐԴ󣬻áÒý·¢ºÜ¶à²¢·¢Ö¢£¬Èç¸ÐȾ¡¢°ÌºÛ¡¢É«ËسÁ×ŵȣ¬²¢ÇÒÐèÒªºÜ³¤µÄ»Ö¸´Ê±¼ä£¬Õû¸öÖÎÁƹý³Ì»¼ÕßÐèÈÌÊܽϴóÍ´¿à¡£
Èý¡¢É䯵±íƤ¼¤¹âÖØ½¨Êõ——ÍêÃÀÐÞ¸´Íç¹Ì¶»¿Ó
É䯵µãÕ󼤹â±íÆ¤ÖØ½¨ÊõÀíÂÛÓÉÃÀ¹ú¹þ·ð´óѧµÄ¼¤¹âҽѧר¼Ò£¬Í¨¹ý¸ßÐÔÄܵãÕ󼤹â²úÉúÕóÁÐÑùÅÅÁеÄ΢С¹âÊø×÷ÓÃÓÚÆ¤·ô£¬Æ¤·ô×é֯ˮÎüÊÕ¼¤¹âÄÜÁ¿ºó£¬Ðγɶà¸öÖùÐνṹµÄ΢СÈÈËðÉËÇø£¬ÔÚ±íÆ¤ÐγÉÒ»¸öÓɼ¤¹â×÷ÓõãÕó¼ä¸ô×é³ÉµÄׯÉÕÇø£¬¿ÉÖ±½Ó´©Í¸ÖÁÕæÆ¤²ã£¬ÔÚ˲¼äÆø»¯µôÖåÎÆ»ò°ÌºÛ´¦µÄ×éÖ¯£¬Í¬Ê±´Ì¼¤½ºÔµ°°×µÄÔöÉú£¬½ø¶øÆô¶¯×éÖ¯ÐÞ¸´¡¢½ºÔÖØÅŵÈһϵÁм¡·ô·´Ó¦£¬ÓÐЧÐÞ¸´Íç¹ÌÐÔ¶»Ó¡¶»¿Ó¡£
É䯵±íƤ¼¤¹âÖØ½¨Êõ»¼ÕßÖÎÁƵĹý³ÌÖÐ
¸Ã¼¼ÊõÖÎÁÆÇà´º¶»¶ÔƤ·ô»á²»»áÉËÆ¤·ô£¿µã»÷×ÉѯÔÚÏßר¼Ò 
É䯵µãÕ󼤹â±íÆ¤ÖØ½¨Êõ4´óÓÅÊÆ
1.³¬Ç¿²¨³¤ÍþÁ¦£ºÓ봫ͳ¼¤¹â²úÉúµÄƬ״ÈÈËðÉ˲»Í¬£¬É䯵µãÕ󼤹â±íÆ¤ÖØ½¨Êõÿ¸öMTZ ÖÜΧÐγɻ·ÐÎ×éÖ¯Äý¹Ì´ø»òÈÈËðÉË´ø£¬ÔÚÍâÖÜΪδËðÉ˵ÄÕý³£×éÖ¯£¬´Ó¶øÊ¹ÖÎÁÆºóÆ¤·ôÄÜ¿ìËÙ»Ö¸´£¬ÎÞÐèÐݼ١¢ÎÞ´«Í³°þÍÑÐÔÖÎÁƵķçÏÕ¡£
2.ÖÎÁÆÎÞÉ˺¦£ºÊä³ö¼ä¸ôʱ¼ä1-999ms¿Éµ÷µÄÂö³åCO2¼¤¹â£¬Äܸù¾ÝÁÙ´²µÄÐèҪѡÔñ²»Í¬µÄ¼ä¸ôʱ¼äÀ´½øÐÐÖÎÁÆ£¬µ±Ñ¡Ôñ999ms¼ä¸ôʱ¼äÊä³öʱ£¬¿ÉÒÔ×÷Ϊµ¥´ÎÊä³ö½øÐÐÖÎÁÆ£¬ÌرðÊʺÏÓÚÖ»ÐèÒªÒ»¸ö¼¤¹âÂö³åµÄÖÎÁÆ£¬ÈçÔÚÈËÌå×é֯ij¸ö²¿Î»´òÒ»¸öºÜС¡¢ºÜϸµÄС¿×¡£µ±¼¤¹âÊä³ö¼ä¸ôʱ¼äµ÷Ϊ×îСֵ1msʱ£¬¼´Ê¹ÔÚºÜС¼¤¹â¹¦ÂʵÄÇé¿öÏ£¬Ò²ÄÜ´ïµ½ºÜºÃµÄÇиîЧ¹û£¬±ÈÁ¬Ðø¼¤¹âÇиîÄÜÁ¦Ç¿£¬¶Ô×éÖ¯µÄÌ¿»¯Ð¡¡¢ËðÉËС£¬ÉË¿ÚÈÝÒ×ÓúºÏ¡£
3.¸öÐÔ»¯ÖÎÁÆ£ºÊä³öƵÂÊ1-999Hz¿Éµ÷µÄ³¬Âö³åCO2¼¤¹â¡£³¬Âö³åCO2¼¤¹â¾ßÓиßÄÜÁ¿¡¢¸ßÖØ¸´ÆµÂÊ¡¢¸ß¹¦ÂÊÃܶȵÈÌØµã£¬¸ßÄÜÁ¿"À伤¹âÊø"ÄÜ×î´óÏ޶ȼõÉÙ¼¤¹â¶ÔÕý³£×éÖ¯µÄËðÉË£¬¾ßÓв»½Ó´¥×éÖ¯¡¢²»³öѪ»òºÜÉÙ³öѪ£¬¾«Ï¸Çи¾«È·°þÀë×éÖ¯µÄ¹¦ÄÜ£¬ÌرðÊʺÏÓڰ̺ÛÐÞ¸´¡£ÈçÉÕÌÌÉ˰̺ۡ¢ÊÖÊõ°ÌºÛ¡¢°¼Í¹°ÌºÛ¡¢Æ½ÃæÉ«Ëذ̺۵ȵȡ£
4.°²È«ÎÞÓÇ£º²ÉÓÃÎÞÐòɨÃ跽ʽ(·ÇÏßÐÔɨÃè¼¼Êõ)·¢É伤¹â£¬¿ÉÒÔ×î´óÏ޶ȼõÉÙɨÃèÇøÓòÈÈËðÉË¡£Í¨¹ýϵͳÅäÖõĸßËÙͼÐÎɨÃèÆ÷£¬Êä³ö²»Í¬ÐÎ×´µÄͼÐΣ¬¿É¸ù¾Ý²»Í¬»¼ÕßµÄÐèÇó£¬Ìṩ¸öÐÔ»¯µÄÖÎÁÆ·½°¸¡£
ÏëÁ˽âµÄ¸ü¼ÓÏêϸ£¿Çëµã»÷×Éѯר¼Ò![]()
¡¾¿µ¸´°¸Àý¡¿
À´×Ô¹ãÖݵÄСÜ磬ÏÖÖÐѧ¶ÁÊé¡£ÒÔǰÁ³ÉϾͳ¤ÓÐðî´¯£¬¼Ó֮ƽʱѧϰѹÁ¦´ó£¬Á³ÉϵÄðî´¯Óú·¢ÑÏÖØ¡£Îª´Ë£¬Ð¡Üç×ÔÈÏΪ±±¾©ÊÇÒ»×ù·¢´ïµÄ³ÇÊУ¬Ò½ÁƼ¼ÊõˮƽÏȽø£¬ÀûÓÃÊî¼Ù¾ÍÅÜÈ¥±±¾©´óÒ½ÔºÖÎÁÆ£¬Õâ2¸ö¶àÔÂÏÂÀ´ÅÜÁ˱±¾©²»ÉÙµÄÒ½Ôº£¬»¹ÓÉÓÚÖÎÁƲ»µ±¶øÓú·¢ÑÏÖØ£¬Ô±¾°×°×¾»¾»µÄÁ³ÉÏ£¬Çà´º¶»Ã»ÁËÈ´³¤ÂúÁËÂ̶¹´óСµÄºìºÖɫС¸í´ñ£¬¶ÔÓÚÒ»¸ö°®ÃÀµÄÅ®Éú£¬ÏԵ÷dz£´ÌÑÛ£¬Ó°ÏìÁËСÜçµÄÐÎÏó¡£Îª´Ë£¬Ð¡Üç´óÒ½ÔºÅÜÁ˲»ÉÙ£¬µ«Ð§¹û²»Îȶ¨£¬Ê±ºÃʱ»µ£¬ÁîСÜçÉË͸ÁËÄԽÎÞÐÄѧϰ£¬´ÓÔ±¾µÄȫУȫʮÃûµøÖÁ¶þ°ÙÃûÒԺ󣬳öÃÅ×ÜÊÇÕÚÕÚÑÚÑڵģ¬Îª´Ë½¹ÂDz»°²¡£
2013Äê9Ô£¬Ð¡Üçͨ¹ýÍøÂç²éѯ£¬Á˽⵽ÄϲýÖÐɽƤ·ô²¡Ò½ÔºÖÎÁÆÇà´º¶»ºÜȨÍþ£¬ÓÚÊÇǰÀ´¾ÍÕƤ·ô²¡×¨¼ÒºúÖ÷ÈνÓÕïºó£¬ÎªÐ¡Üç×öÁËϸÖ¼ì²é£¬È·ÈÏСÜçµÄ·¢²¡ÔÒòºó£¬·¢ÏÖÊÇÇà´º¶»Ã»ÓÐÖÎÁƳ¹µ×£¬ÓÉÓÚÆ½Ê±Ã»ÓÐ×öºÃ·À»¤ÁôÏÂÁ˶»ºÛ¡£²ÉÓÃÁ˱¾ÔºÑз¢µÄ“É䯵µãÕ󼤹â±íÆ¤ÖØ½¨Êõ”£¬¸ù¾Ý»¼Õß×ÔÉíÇé¿ö£¬±çÖ¤Ö¢ÐÍ£¬²éÕÒÖ¤Òò£¬Öƶ¨ÖÎÁÆ·½°¸¡£Í¨¹ýÌáÈ¡´¿ÌìÈ»ÖÐÒ©µÄ¾«»ª£¬¾ßÓÐÉî²ãÇå³ý¶»¸ùÓÙ»ý¶¾ËØ¡¢µ»¯¶»Ó¡µÈ¹¦Ð§£¬Î޴̼¤¡¢ÎÞ¸±×÷Óã¬Ò©Ð§Ö±´ï»¼´¦£¬³¹µ×½â¾ö¶»¶»¸´·¢ÄÑÌ⣬ÊÇÐÞ¸´¶»Ó¡ºÍñ£ºÛµÄÂÌÉ«×ÔÈ»ÖÐÒ½ÁÆ·¨¡£´ÓÈ«ÃæÐÞ¸´ÊÜËðÆ¤·ô¡¢ÄÚÍâ¼æÖΡ¢ÄÛ»¬Æ¤·ôÈý¸ö½Ç¶È¹¥¿Ëðî´¯ÖÎÁÆÄÑÌâ¡£²ÅÖÎÁÆÒ»¸öÁƳ̣¬ÏÖÔÚСÜçÁ³ÉϵĶ»ºÛ²î²»¶à¿ìÈ«ºÃÁË£¬¶»¶»Ò²Ã»ÓÐÔٴθ´·¢£¬ÕâÈÃСÜç¸ßÐË»µÁË¡£Ëýһֱ˵Õâ¶¼ÊÇÄϲýÖÐɽƤ·ô²¡Ò½ÔºµÄ¹¦ÀÍ£¬Ò»Ïëµ½×Ô¼ºµÄƤ·ô²»¾Ã¾ÍÒª»Ö¸´µ½ÒÔǰµÄ°×𪣬ҹÀï×öÃζ¼»áЦÐÑ¡£
ÌØ±ðÌáʾ£ºÒªÏëÖÎÁƺü²²¡£¬»¼ÕßÊ×ÏȾÍÒªÊ÷Á¢ÐÅÐÄ£¬È»ºó»ý¼«ÅäºÏÒ½ÉúÖÎÁÆ£¬Ñϸñ°´ÕÕÒªÇóÖ´ÐУ¬ÕâÑù²ÅÄܵõ½¸ü¿ìµÄ¿µ¸´£¬»¼ÕßÈç¹ûÓÐʲô²»Êæ·þµÄµØ·½£¬Ò»¶¨Òªµ½Ò½Ôº¼ì²é¾ÍÕÒòΪ¼²²¡²»»áÒòΪÄúµÄÍÏÑÓ¶øºÃµÄ£¬µ«Êǿ϶¨»áÒòΪ²»¼°Ê±ÖÎÁƶø¼ÓÖØ£¬ËùÒÔ¼°Ê±¾ÍÒ½£¬Ôç¼ì²é£¬ÔçÖÎÁÆÊÇ×îºÃµÄ¡£
ÔÚÏß×ÉѯԤԼ¾ÍÕïÓÅÊÆ
¡ïÔÚÏßÃâ·Ñ×Éѯ——ȨÍþƤ·ô²¡×¨¼Ò24СʱÔÚÏßÒ»¶ÔÒ»“ÎÊÕï”
¡ïÌáǰԤԼ¹ÒºÅ——Ãâר¼Ò¹ÒºÅ·Ñ¡¢Ãâ»áÕï·Ñ¡¢ÓÅÏȾÍÕÇáËɾÍÒ½¡£
¡ï¼ÙÈÕר¼ÒÃÅÕï——·½±ã»¼ÕßÐÝÏ¢ÈÕ¿´²¡£¬²»Ó°ÏìÉϰ࣬Ìṩ¸üÈËÐÔ»¯·þÎñ¡£
ÎÂܰÌáÐÑ£ºÄϲýÖÐɽƤ·ô²¡Ò½Ôº»ã¾ÛÈ«¹úƤ·ô¿ÆÃûÒ½£¬Òý½øÒ»Á÷µÄÕïÁÆÉ豸£¬´òÔ컪¶«µØÇø“ר²¡¡¢×¨Ò½¡¢×¨ÖΔ×îרҵµÄƤ·ô²¡ÕïÁÆ»ùµØ¡£ÎªÁËÂú×㻼ÕߵľÍÒ½ÐèÇó£¬ÌØ¿ªÍ¨ÁËÃâ·ÑÍøÉÏ×ÉѯÓëÔ¤Ô¼£¬¸ü¼Ó·½±ã¿ì½ÝµÄΪ»¼Õß·þÎñ¡£ÍøÂçÈ«ÌìºòÕï£¬ÍøÉϹҺÅÖ±½Ó¾ÍÕÎÞÐèµÈºò£¬Îª¹ã´ó»¼Õß½Úʡʱ¼ä£¬ÊÇÆ¤·ô²¡»¼Õß×îÖµµÃÐÅÀµµÄÒ½Ôº¡£¡£
Ò½Ôºµç»°£º0791-88116677 ½ÓÕïʱ¼ä£º 8:00-17:30(½Ú¼ÙÈÕ²»ÐÝ)
QQ£º77891588
Ò½ÔºµØÖ·£º½Î÷Ê¡ÄϲýÊÐÎ÷ºþÇøÕ¾Ç°Î÷·49ºÅ¡¢173ºÅ
³Ë³µÂ·Ïߣº³Ë×ø5·¡¢6·¡¢18·ÄÚÏß¡¢18·ÍâÏß¡¢26·ÄÚ»·¡¢26·Íâ»·¡¢206·¡¢219·³¤°à¿Õµ÷¡¢221·¿Õµ÷¡¢225·³¤°à¿Õµ÷¡¢ 230·¿Õµ÷¡¢233³¤°à¡¢233·¡¢305·¡¢305Ò¹¡¢310·¡¢316·µ½Êй«½»×ܹ«Ë¾Ï³µ¼´¿É¡£
×Ô¼Ò³µÏß·£º½Î÷Ê¡ÄϲýÊÐÎ÷ºþÇøÕ¾Ç°Î÷·49ºÅ¡¢173ºÅ¼´µ½¡£
- ÉÏһƪ£ºÔõôȥ³ýÁ³Éϵķ۴Ì
- ÏÂһƪ£ºÄϲýÈ¥³ý¶»Ó¡Ð§¹û×îºÃµÄÒ½Ôº
- ¡ï¡ï¡ï¡ï¡ï
- 5.0
- 5.0
- 5.0
- ÎÒÒªÆÀÂÛ














¿ÆÊÒÒ»ÀÀ










