Ôõôȥ³ýÁ³Éϵķ۴Ì
À´Ô´£ºÄϲýÖÐɽƤ·ô²¡Ò½Ôº¡¾×¨¼ÒÔÚÏß×Éѯ¡¿

ÔÚÎÒÃǵÄÈÕ³£Éú»îµ±ÖУ¬Æ¤·ô²¡µÄÖÖÀàÓкöàÖÖ£¬ÆäÖз۴̾ÍÊÇ¡£ÏÖÔںܶàÄêÇáµÄÈËÁ³É϶¼³¤ÁË·Û´Ì£¬ÌرðÊÇÄÇЩ°®ÃÀµÄÃÀüÃÇ£¬¸ü¼ÓÌÖÑáËÀÁËÕâ¸ÃËÀµÄ·Û´Ì£¬ÑÏÖØµÄÓ°ÏìÁË×Ô¼ºµÄÐÎÏó£¬ÓÚÊǾÍÏ뾡°ì·¨µÄÕÒ¸÷ÖÖ¸÷Öֵķ½·¨À´ÖÎÁÆ·Û´ÌÎÊÌ⣬¿ÉÊÇÖÎÁÆ·Û´ÌÒ²ÊÇÒª¶ÔÖ¢ÖÎÁƵ쬴Ӳ¡ÒòÈëÊÖ²ÅÊÇ×îºÃµÄ£¬²»ÄÜËæ±ãµÄÂÒÓÃÒ©¡£ÄÇô·Û´ÌÊÇÔõôÐγɵÄ?Á³Éϳ¤·Û´ÌµÄÔÒòÓÐÄÄЩ¶¼ÓÐÄÄÐ©ÄØ?
·Û´ÌµÄÖ¢×´±íÏÖ
ÖÎÁÆÁ³ÉÏ·Û´Ì×î¿ì×îÓÐЧµÄ·½·¨ÊÇÊ²Ã´ÄØ£¿µã»÷×ÉѯÔÚÏßר¼Ò
Ê×ÏÈÎÒÃÇÀ´¿´¿´ÒýÆð·Û´ÌµÄ²¡Òò£¬ÄÚ·ÖÃÚÒì³£ÊÇÒýÆð·Û´ÌµÄÖ÷ÒªÔÒòÖ®Ò»£¬ÏàÐźܶàµÄÅ®ÉúÅóÓѶ¼ÖªµÀ£¬ÔÚÉúÀíÖÜÆÚµÄʱºòÁ³Éϵķ۴ÌÊÇÒì³£µÄ¶àµÄ£¬ÕâÊÇÒòΪÕâʱºòÌåÄڵĴÆÐÛ¼¤ËØÑÏÖØµÄÒì³£µÄ½á¹û¡£ÕâЩӦ¸Ã¶¼ÖªµÀÁ˰ɡ£
Æä´Î³¤·Û´ÌºÍÐÄÇéÒ²ÓÐÒ»¶¨µÄ¹ØÏµ£¬ÇéÐ÷²»Îȶ¨Ò²Êǵ¼Ö·۴̵ÄÖ÷ÒªÔÒòÖ®Ò»£¬ÇéÐ÷²»Îȶ¨µÄʱºò¾Í»á´Ì¼¤ÉöÉÏÏÙ¼¤ËØ·ÖÃÚÒì³££¬µ¼Ö·۴ÌÉú³É¡£³¬±êÔªËØµÄ»¯×±Æ·µÄʹÓüÓÖØÁËë¿×µÄ¸ºµ££¬¶ÂÈûë¿×µ¼Ö·۴̵ÄÐγɡ£Èç¹û²»Ô¤·À»áµ¼ÖÂÁ³Éϳ¤·Û´ÌÑÏÖØ¡£
ÁíÍâ¾ÍÊÇÆäËüµÄÒòËØµ¼Öµģ¬¼¤ËØÀàµÄÒ©ÎïÒ²ÊÇÒýÆð·Û´ÌµÄÔÒòÖ®Ò»£¬³¤ÆÚµÄʹÓûᵼÖÂ×ÔÉíµÄÃâÒßÁ¦Ï½µ£¬Ã»ÓÐ×ã¹»µÄÄÜÁ¦µÖÓùÍâ½çµÄÇÖÏ®£¬ºÜÈÝÒ׻᳤·Û´ÌµÄ¡£
·Û´ÌµÄÎå´óΣº¦£º
¡ïÔñżÄÑ£º²»¹ÜÊÇÄÐÊÇÅ®¶Ô³¤·Û´ÌµÄÒìÐÔÌìÉú¶¼¾ßÓÐÅųâµÄÐÄÀí£¬Ã¿´ÎÈ¥ÏàÇ×¶¼»á°Ñ¶ÔÏóÏÅ×ß!
¡ïËð×ÔÐÅ£º³¤·Û´ÌÌØ±ðÓ°ÏìÐÎÏ󣬳öÃÅÔÙÔõô´ò°ç¶¼ÑÚÊβ»ÁËÁ³ÉϵÄÓ͹âºÍ·Û´Ì£¬ÌرðÉË×ÔÐÅ!
¡ïÔñÒµÄÑ£ºÐÂÎÅ¡¢¹«¹Ø¡¢¿Õ½ã¡¢µ¼ÓεȸßÊÕÈëÖ°Òµ£¬¶¼¶Ô³¤·Û´ÌÕß±§ÑÏÖØÆçÊÓ£¬Ö»ÄÜÊÓ¶øÔ¶Ö®!
¡ïÓ°ÏìÉç½»£ºÐÎÏóÊÇÓ°ÏìÈËÓëÈËÖ®¼äÉç½»µÄÖØÒªÒòËØÖ®Ò»£¬´ó¼Ò¶¼²»Ï²»¶¿¿½üÂúÁ³·Û´ÌµÄÈË!
¡ïÓ°ÏìÒûʳ£ºÁ³Éϳ¤·Û´Ì²»¸Ò³Ô´Ì¼¤ÐÔʳƷ£¬Òûʳµ¥µ÷£¬ºÍÅóÓѳöÈ¥³Ô·¹Ö»Äܹ⿴±ðÈ˳Ô!
¡¾ÌØÉ«ÁÆ·¨¡¿ÖÐÎ÷Ò½ÎåÁªÇå¶»ÁÆ·¨£¬ÖÎÁÆÇà´º¶»£¨·Û´Ì£©²»¸´·¢
ÖÐÎ÷Ò½ÎåÁªÇå¶»ÁÆ·¨Î岿Çú£º
1.Çå½à£¬É±¾ú£º½à·ôÊǹؼü£¬Ò²ÊÇÖÎÁƵĵÚÒ»²½¡£ÝÍÈ¡¶þÊ®ÈýÖÖÃû¹óÖÐÒ©¾«»ª£¬Ê¹Ò©ÎïÉøÈ뼡·ô»ùµ×²ã£¬»¼ÕßÔÚ±¶¸ÐÇåˬÎÞÍ´µÄÇé¿öÏ£¬Åųö»ý´æ´úл¡£
2.ÏûÑ×£¬°Î¶»£º³¬Ï¸Î¢·Ö×ÓË®¼ÁÉøÍ¸£¬½áºÏ¹ú¼ÊÏȽø“»ºÊÍ”¼¼Êõ£¬ÉøÍ¸Ã«ÄÒµÄ203um´¦ÕæÆ¤²ã,ѸËÙÎü×ß΢·Û´Ì£¬ÏñÉúÎïÊÖÊõµ¶Ò»Ñù£¬Õ¶³ý¶»¸ù£¬×èÖ¹¶»¶»³¤´ó¡¢ÂûÑÓ¡£
3.ÖÐÒ©Àë×Óµ¹Ä¤£¬Çå³ý¶¾ËØ£º±ü³ÐÖлªÒ½Ñ§ÀíÂÛ£¬¿ª´´³ö×Ô¼º¶ÀÌØµÄÖÐÒ©Àë×Óµ¹Ä¤ÁÆ·¨£¬´Ù½øÆ¤·ôÉúÀíÑ»·£¬Çå³ý¶¾ËØ£¬ÓÐЧµ÷ÀíÓÍÐÔ·ôÖʵÈÌØÐÔ£¬¸ÄÉÆÄÚ·ÖÃÚìî³ý²¡Òò¡£
4.ÍêÃÀÑ©·ô£¬Î¢¾§Ä¥Ï÷¼¼Êõ£ºÀûÓÃÉÏÆ¤×éÖ¯ÔÙÉúÔÀí£¬¸ßËÙÅç³ö΢¾§Á£×Ó×÷ÓÃÓÚ±íÆ¤Éî²ã£¬´Ì¼¤½ºÔµ°°×¼°ÏËά×éÖ¯¸üУ¬´Ù½øÐÂϸ°ûÉú³¤£¬ÓÐЧÐÞ¸´Çà´º¶»°ÌºÛ¡£
5.Ó¢¹ú¹â¶¯Á¦À¶¹â¼¼Êõ£ººìÀ¶¹âÖÎÁÆÏµÍ³ÓÃÓÚÇà´º¶»ÖÎÁƵĹâѧÉ豸¡£Ê×Ñ¡ÕÆ×LED¹âÔ´ìî¶»£¬À¶¹âÏûÑ×ɱ¾úìî¶»;ºì¹âÐÞ¸´Æ½ºâƤ·ô;ÎÞ×ÆÍ´¸Ð¡£×îÖÕ´ïµ½Çå³ýÇà´º¶»£¬²»Áô¶»Ó¡¡£
ÖÐÎ÷Ò½ÎåÁªÇå¶»ÁÆ·¨ËÄ´ó¼¼ÊõÓÅÊÆ£º
1.×è¶Ï²¡ÔÀûÓÃÖÐÒ½µÄºÏÀíµ÷Å䣬Éî²ãÇå³ýÌåÄÚʪ¡¢ÈÈ¡¢»ð¡¢Ñס¢¶¾£¬×è¶ÏÇà´º¶»·¢²¡¸ùÔ´£¬ÔÙÅŶ¾¡£É±¾úµÄͬʱÐÞ¸´ÊÜËðϸ°û£¬×è¶Ï²¡Ôî¡£
2.ÄÚÍâ¼æÖΣºÖÐÒ©µ÷ÕûµÄ¹ý³ÌÖУ¬½áºÏ¼¤¹âÖÎÁÆÏµÍ³£¬¶ÔÇà´º¶»²¿Î»½øÐÐÈ«ÃæÉ±¾ú£¬¼ÓËÙ¾Ö²¿Î¢Ñ»·£¬¿ìËÙÅųýÌåÄÚ¶¾ËØ£¬»Ö¸´ÄÚ·ÖÃÚÆ½ºâ¡£
3.¿ìËÙ»Ö¸´Æ¤·ô¹â½à£º´«Í³ÖÐÒ©ÄÚ·þ½áºÏÖÐÒ©Æû»¯Ñ¬Õô£¬Ê¹Ò©Ð§¿ìËÙÉøÍ¸£¬Éî²ãÇå½àë¿×£¬ÐÞ¸´Çà´º¶»Íⲿ°ÌºÛºÍ¶»Ó¡£¬Çå³ýÉ«°ß£¬ÐÞ¸´°ÌºÛ£¬ÖØËܹâ½àƤ·ô¡£
4.ÎÞ¸±×÷Óã¬ÎÞÐèÐݼ٣ºÖÎÁÆ¶ÔÆ¤·ôûÓÐÈκδ̼¤£¬Ã»ÓйâÃôÏÖÏó£¬ÎÞ¸±×÷Óá£ÖÎÁƹý³ÌÇáËÉ£¬°²È«£¬ÎÞÈκÎÍ´¿à¡£ÖÎÁÆÊ±¼ä¶Ì£¬ÎÞÐèסԺ¡£
ÎåÁªìî¶»³É¹û£¬ÓÉÄúÓë45000ÀýÇà´º¶»»¼Õß¹²Í¬¼ûÖ¤£º
¡¾¿µ¸´°¸Àý¡¿ ÖÐÎ÷Ò½ÎåÁªÇå¶»ÁÆ·¨ÈÃÍõij1ÄêµÄðî´¯³¹µ×Ïûʧ
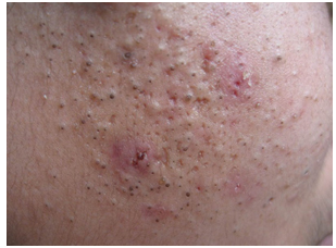
»¼ÕßÍõij£¬Å®£¬23Ë꣬Äϲýij´óѧѧÉú¡£ÓÚ2009Äê12ÔÂ15ÈÕ¾ÍÕï¡£»¼Õß18ËêÑÕÃæÊ¼³ö·Û´Ì£¬Î´¾ÖÎÁÆ£¬ÖÁ20Ë겡Çé¼ÓÖØ£¬ÑÕÃæ²¼Âú´óС²»µÈ½á½Ú£¬¼·Ö®Óж¹ÔüÑùÎïÅųö£¬ÖÎÁÆ1ÄêÓ࣬ûÓÐЧ¹û¡£¾ÅóÓѽéÉÜÀ´µ½ÄϲýÖÐɽƤ·ô²¡Ò½Ôº½øÐÐÖÎÁÆ¡£
ÍõijÖÎÁÆÇ°ºóµÄ¶Ô±Èͼ
>>> ÓëÆäÏÛĽ±ðÈËÖÎÓú¼²²¡£¬²»ÈçÂíÉϵã»÷×Éѯ <<<
ÄϲýÖÐɽƤ·ô²¡Ò½ÔºµÄƤ·ô²¡×¨¼ÒÀîÕý±òÇ××ÔΪÆäÕïÖΡ£ÀîÕý±òÖ÷Èμûµ½ÍõÄ³Ê±Ãæ²¿ÓÍÄ壬ë¿×´Ö´ó£¬³ý±Ç¼°ÑÛÖÜÍ⣬Ëü´¦¾ù¼û¶àÊýÉ¢ÔÚºÚÍ··Û´Ì¼°Ã×Á£ÖÁÍã¶¹´óС½á½Ú¡Æð£¬¸ùµ×ÈÚºÏ³ÉÆ¬£¬Ö×ÕÍ×ϰµ£¬ºÚÍ··Û´Ì¼·Ñ¹Óж¹ÔüÑùÎïÅųö£¬´ó½á½Ú¼·Ñ¹ÓÐÏ¡±¡Å§ÐÔ¼°ÑªÐÔ·ÖÃÚÎï¡£ÂöºéÊýÓÐÁ¦£¬Éൾ¡¢Ì¦Î¢»Æ¶øÄå¡£´ó±ã½Ï¸É£¬²»º¹³ö¡£Õï¶ÏΪ¾ÛºÏÐÔðî´¯¡£
ÎÒԺר¼Ò¾¹ý¶àÄêµÄÑо¿£¬ÐγÉÁËÒ»ÕûÌ×ÖÎÁÆðî´¯ºÍñ£ºÛµÄ·½·¨£¬×ÔÖ÷Ñз¢µÄ"ÖÐÎ÷Ò½ÎåÁªÇå¶»ÁÆ·¨"½áºÏ"ÖÐÒ©Îí»¯ÁÆ·¨"¡¢¹âÁƺÍÄÚ·þÖÐÒ©µ÷Àí£¬¶à½Ç¶ÈÈ«·½Î»£¬·¢»ÓÖÐÒ½±ê±¾¼æÖεÄÓÅÊÆ£¬×ÛºÏÖÎÁÆðî´¯¡£Ò»°ãµÄÒ»¸öÁƳÌ7Ìì¡£Çá¶È»¼ÕߵϼÕßÔËÓÃÖÐÒ½Ò©ÖÎÁƺó1-2ÁƳ̿ÉÒÔ¿µ¸´;ÖØÖ¢»¼Õß»¼Õß¾ø´óÊýÔÚ3-4ÁƳÌÒ²¿ÉÒÔ´ïµ½¿µ¸´¡£ÀîÕý±òÖ÷ÈβÉÓÃ"ÖÐÎ÷Ò½ÎåÁªÇå¶»ÁÆ·¨"ΪÆäÖÎÁÆ£¬Ò»¸öÁƳ̺ó£¬Á³ÉϵÄðî´¯ÓÐÃ÷ÏԵļõÇᣬ4¸öÁƳ̺óÍõijÁ³ÉϵÄðî´¯ÍêÈ«ÏûʧÁË¡£Íõij·Ç³£¸ÐлÀîÖ÷ÈεÄÖÎÁÆ£¬Á³ÉϳöÏÖÁ˾ÃÎ¥µÄ×ÔÐźÍÃÀÀö¡£¶ÔÍõÄ³Ëæ·ÃÖÁ½ñ£¬Î´¸´·¢¡£
ÌØ±ðÌáʾ£ºÒªÏëÖÎÁƺü²²¡£¬»¼ÕßÊ×ÏȾÍÒªÊ÷Á¢ÐÅÐÄ£¬È»ºó»ý¼«ÅäºÏÒ½ÉúÖÎÁÆ£¬Ñϸñ°´ÕÕÒªÇóÖ´ÐУ¬ÕâÑù²ÅÄܵõ½¸ü¿ìµÄ¿µ¸´£¬»¼ÕßÈç¹ûÓÐʲô²»Êæ·þµÄµØ·½£¬Ò»¶¨Òªµ½Ò½Ôº¼ì²é¾ÍÕÒòΪ¼²²¡²»»áÒòΪÄúµÄÍÏÑÓ¶øºÃµÄ£¬µ«Êǿ϶¨»áÒòΪ²»¼°Ê±ÖÎÁƶø¼ÓÖØ£¬ËùÒÔ¼°Ê±¾ÍÒ½£¬Ôç¼ì²é£¬ÔçÖÎÁÆÊÇ×îºÃµÄ¡£
ÔÚÏß×ÉѯԤԼ¾ÍÕïÓÅÊÆ
¡ïÔÚÏßÃâ·Ñ×Éѯ——ȨÍþƤ·ô²¡×¨¼Ò24СʱÔÚÏßÒ»¶ÔÒ»“ÎÊÕï”
¡ïÌáǰԤԼ¹ÒºÅ——Ãâר¼Ò¹ÒºÅ·Ñ¡¢Ãâ»áÕï·Ñ¡¢ÓÅÏȾÍÕÇáËɾÍÒ½¡£
¡ï¼ÙÈÕר¼ÒÃÅÕï——·½±ã»¼ÕßÐÝÏ¢ÈÕ¿´²¡£¬²»Ó°ÏìÉϰ࣬Ìṩ¸üÈËÐÔ»¯·þÎñ¡£
ÎÂܰÌáÐÑ£ºÄϲýÖÐɽƤ·ô²¡Ò½Ôº»ã¾ÛÈ«¹úƤ·ô¿ÆÃûÒ½£¬Òý½øÒ»Á÷µÄÕïÁÆÉ豸£¬´òÔ컪¶«µØÇø“ר²¡¡¢×¨Ò½¡¢×¨ÖΔ×îרҵµÄƤ·ô²¡ÕïÁÆ»ùµØ¡£ÎªÁËÂú×㻼ÕߵľÍÒ½ÐèÇó£¬ÌØ¿ªÍ¨ÁËÃâ·ÑÍøÉÏ×ÉѯÓëÔ¤Ô¼£¬¸ü¼Ó·½±ã¿ì½ÝµÄΪ»¼Õß·þÎñ¡£ÍøÂçÈ«ÌìºòÕï£¬ÍøÉϹҺÅÖ±½Ó¾ÍÕÎÞÐèµÈºò£¬Îª¹ã´ó»¼Õß½Úʡʱ¼ä£¬ÊÇÆ¤·ô²¡»¼Õß×îÖµµÃÐÅÀµµÄÒ½Ôº¡£¡£
Ò½Ôºµç»°£º0791-88116677 ½ÓÕïʱ¼ä£º 8:00-17:30(½Ú¼ÙÈÕ²»ÐÝ)
QQ£º77891588
Ò½ÔºµØÖ·£º½Î÷Ê¡ÄϲýÊÐÎ÷ºþÇøÕ¾Ç°Î÷·49ºÅ¡¢173ºÅ
³Ë³µÂ·Ïߣº³Ë×ø5·¡¢6·¡¢18·ÄÚÏß¡¢18·ÍâÏß¡¢26·ÄÚ»·¡¢26·Íâ»·¡¢206·¡¢219·³¤°à¿Õµ÷¡¢221·¿Õµ÷¡¢225·³¤°à¿Õµ÷¡¢ 230·¿Õµ÷¡¢233³¤°à¡¢233·¡¢305·¡¢305Ò¹¡¢310·¡¢316·µ½Êй«½»×ܹ«Ë¾Ï³µ¼´¿É¡£
×Ô¼Ò³µÏß·£º½Î÷Ê¡ÄϲýÊÐÎ÷ºþÇøÕ¾Ç°Î÷·49ºÅ¡¢173ºÅ¼´µ½¡£
- ÉÏһƪ£ºÈçºÎ¸üºÃµÄÈ¥³ýÇà´º¶»
- ÏÂһƪ£ºÄϲý°µºìÉ«¶»Ó¡Ôõôȥ³ý
- ¡ï¡ï¡ï¡ï¡ï
- 5.0
- 5.0
- 5.0
- ÎÒÒªÆÀÂÛ