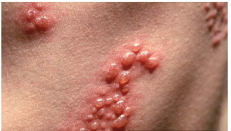
带状疱疹    带状疱疹(Herpes Zoster)是由水痘带状疱疹病毒引起的急性炎症性皮肤病,中医称为“缠腰火龙”“缠腰火丹”,俗称“蜘蛛疮”。其主要特点为簇集水泡,沿一侧周围神经作群集带状分布,伴有明显神经痛,初次感染表现为水痘,以后病毒可长期潜伏在脊髓后根神经

告别皮炎湿疹,十年,终于睡了一

湿疹概述: 皮炎湿疹是一种过敏性皮肤病,发病部位常见于面部、耳后、四肢屈侧、乳房、手……【详情】

中山医院帮她摆脱16年“鱼儿身”

鱼鳞病概述: 鱼鳞病是一种遗传性角化障碍性皮肤病,其共同特点为四肢伸侧或躯干部发生很……【详情】

走出脱发阴影 重树生活信心

家住洛阳的曾艳还没到40岁,但是别人看起来却感觉50多了,因为头上稀疏的头发,让曾艳很自……【详情】

就诊指南
专家团队
  • 黄汉明
    职称:主任
    擅长:痤疮、色斑、湿疹、皮炎...点击咨询
  • 梁明成
    职称:主任
    擅长:白癜风、牛皮癣、脱发...点击咨询

医患问答

带状疱疹到哪里治疗好
带状疱疹到哪里治疗好?带状疱疹是由水痘带状疱疹病毒……[详细]
孕妇患带状疱疹对胎儿有什么
带状疱疹是由水痘-带状疱疹病毒所引起的,以沿单侧周……[详细]
带状疱疹的发生从何而来?
带状疱疹的发生从何而来?带状疱疹是由带状疱疹病毒所……[详细]
如何有效预防带状疱疹
预防带状疱疹的最好方法:带状疱疹病毒是一种具有亲神……[详细]
在线挂号
患者姓名:
*
联系方式:
*
预约时间:
*
目前病情:
*
验证码:
看不清?点击更换 *
帮您提前预约专家
24小时在线服务
快速解决您的疑问