ÄϲýÈ¥³ý¶»Ó¡Ð§¹û×îºÃµÄÒ½Ôº
À´Ô´£ºÄϲýÖÐɽƤ·ô²¡Ò½Ôº¡¾×¨¼ÒÔÚÏß×Éѯ¡¿

Ôõôȥ³ý¶»Ó¡?¶»Ó¡ÊÇÎÒÃÇÔÚ³¤Çà´º¶»Ê±ÆÚÁôϵĺۼ££¬¶ÔÓÚÎÒÃǵÄÈÝòÓÐןܴóµÄÓ°Ï죬¾ÍÏñÓêºóµÄ¹«Â·Ò»Ñù£¬ÂúÄ¿´¯ðꡣΪ´ËÇóÃÀÕß¾³£¸Ðµ½·³ÄÕ²»ÒÑ£¬Ï£ÍûÄܹ»½«ÆäÔçÈÕÏû³ý£¬ÊÔÁ˸÷ÖÖ¸÷ÑùµÄÃÀ·ô²úÆ·£¬ÊÕЧÉõ΢¡£¶Ô´ËÄϲýÖÐɽƤ·ô²¡Ò½ÔºµÄר¼ÒÖ¸³ö£¬¶ÔÓÚ¶»Ó¡µÄÖÎÁÆ£¬Ò²ÊÇÒª¶Ô֢ʩÖεġ£ÏÂÃæÎÒÃǾÍÒ»ÆðÀ´ÏêϸÁ˽ⶻӡ×îºÃµÄÖÎÁÆ·½·¨¡£

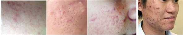
¶»Ó¡µÄÖ¢×´±íÏÖ
ÖÎÁƶ»Ó¡×îºÃµÄ·½·¨ÊÇʲô£¿µã»÷×ÉѯÔÚÏßר¼ÒÏêϸ½éÉÜ
¡¾¶»Ó¡µÄÔÒò¡¿×ÊÉîÆ¤·ô²¡×¨¼Ò½âÎö¶»Ó¡µÄÐγÉ
ȨÍþƤ·ô²¡×¨¼ÒÖ¸³ö£¬¶»Ó¡µÄÐγɶàÊÇÓÉÓÚÓ͹âÂúÃæ£¬ÓÍÖ¬¹ý¶à → ë¿×´Ö´ó/¶ÂÈû → Ƥ֬ÏÙ·ÖÃÚÓÍÖ¬ →½ÇÖʲãÔöºñ£¬ÓÍÖ¬½¥ÍùƤ²ã±íÃæÂ¡Æð →½ÇÖʲã¡Æð£¬ÓÍÖ¬¶ÂÈûë¿×£¬Â¡ÆðµÄ¶¥µãÑõ»¯±ä³ÉºÚÉ« → ϸ¾úÔÚë¿×ÀïºÍÓÍÖ¬½ÁºÍÔÚÒ»Æð → ¶»Ó¡±ûËá¸Ë¾úÔÚȱÑõÇé¿öÏ´óÁ¿·±Ö³ → µ¼ÖÂÑ×֢ϸ¾úÇÖÈ룬±ä³Éŧðå¡¢½á½Ú → Õû¸öëÄÒ±äºì¡¢·¢Ñ× → ϸ¾úÀ©É¢µ½¸½½üµÄƤ·ô×éÖ¯£¬±äµÃ¸ü´ó£¬½ø¶øÐγɶ»Ó¡¡£
¡¾ÖÎÁÆÎóÇø¡¿¶»Ó¡ÎªÊ²Ã´»á¾ÃÖβ»Óú
1¡¢ìî¶»²úÆ·£ºÆ¤·ôר¼Ò·ÖÎö£¬»¯×±Æ·´ó¶à¶¼Ìí¼ÓÁ˼¤Ëسɷ֣¬Èç¹û¼¤Ëصĺ¬Á¿²»Êʵ±£¬·ÀÃô´ëÊ©²»µÃÁ¦£¬¾Í¿ÉÄÜ»áÓкìÖ×ÏÖÏó·¢Éú£¬¹ýÁ¿Ê¹Óû¹»áÁîÆ¤·ô²úÉú¼Ì·¢ÐÔË𺦡£
2¡¢ÃÀÈÝÔº£ºÏ¸¾úºÍëÄÒ¿×¶ÂÈûºÍÌåÄÚÔà¸Ê§ºâ£¬ÊǶ»Ó¡Ö÷Òª²¡Òò£¬ÄÚµ÷ÓÈÎªÖØÒª£¬ÆÕͨÃÀÈÝÔº¸ù±¾ÎÞ·¨×öµ½¡£¹ØÓÚºìÓ¡ºÍ°¼°Ì£¬ÔÚÃÀÈÝÔºÀï¸üÊÇÊøÊÖÎ޲ߡ£
3¡¢²»×¨ÒµµÄÒ½ÔºÃÀÈݿƣº´ó¶à²ÉÓòʹâÕÕÉäÖÎÁÆ£¬µ«²»×¨ÒµÈËÔ±ÓпÉÄÜÆÆ»µÆ¤·ôÉ«ËØ£¬²úÉú²»¾ùÔÈÉ«°ß»òÕßÁôϰ̺ۣ¬´Ó¸ù±¾ÉÏÀ´Ëµ£¬²»¿ÉÄÜ´ïµ½ÖÎÓúµÄÄ¿µÄ¡£
ר¼ÒÖ¸³ö£¬¶»Ó¡ËäÈ»¿´ËÆÖ»ÊÇССµÄƤ·ôÎÊÌ⣬µ«Ò²ÒªÒýÆð×ã¹»µÄÖØÊÓ£¬³¤ÆÚÎÞЧµÄÖÎÁÆ»òÎÞÊÓÖÎÁÆ£¬Ò»µ©»úÌåµÄijЩ¹¦ÄܳöÏÖÑÏÖØµÄÎÊÌ⣬»¹»áÒýÆð¸ü¶àµÄ¼²²¡²úÉú¡£²¢ÇÒÔÚÖÎÁƶ»Ó¡µÄ¹ý³ÌÖÐÒ²Ð뾯É÷£¬»¯×±Æ·¡¢ÍâÓÃÒ©Î¾¡Á¿É÷Óã¬Ö»Öα겻Öα¾µÄ·½Ê½£¬»áÖܶø¸´Ê¼¡£Öζ»Ó¡Òª½²ÄÚÍâµ÷Àí£¬²ÅÊDZ걾¼æÖεÄ×îºÃ·½·¨¡£
ÄϲýÖÐɽƤ·ô²¡Ò½Ôº×¨¼Ò±íʾ£¬¶»Ó¡ÊÇÕæÐ԰̺ۣ¬Ò»µ©ÐγÉÎÞ·¨½øÐÐ×ÔÎÒÐÞ¸´£¬½ÓÊÜרҵÖÎÁƲÅÄܱ£Õ϶»Ó¡ÓÐЧ»Ö¸´£¬Ä¿Ç°³£¼ûµÄ¶»Ó¡ÐÞ¸´·½·¨ÓÐÒÔϼ¸ÖÖ£º
Ò»¡¢Ò©ÎïͿĨÖÎÁÆ
²¿·Ö»¼ÕßÔÚ¶Ô¿¹¼²²¡Ê±£¬³öÓÚ·½±ã¡¢¼õÇáÖÎÁÆÍ´¿à¡¢½ÚÊ¡ÖÎÁÆ·ÑÓÃµÈ¶à·½ÃæÒòËØ£¬Ï°¹ßÐÔµÄÓÅÏÈÑ¡ÔñÓÃÒ©ÎïͿĨ·¨½øÐÐÖÎÁÆ¡£Ò©ÎïͿĨÖÎÁƶÔÇá΢¼ÙÐ԰̺ÛÐÞ¸´Äܹ»»ñµÃ½ÏºÃÐÞ¸´Ð§¹û£¬¶ø¶»Ó¡¶»¿ÓÊôÓÚÕæÐ԰̺ۣ¬Ò»µ©Ðγɣ¬¿¿Ò©ÎïͿĨ£¬Æð²»µ½ÓÐЧ×÷Óá£
¶þ¡¢´«Í³´Ì¼¤ÀíÂÛÐÞ¸´¶»Ó¡¶»¿Ó
ÀûÓÃËðÉËÐÞ¸´ÔÀí£¬´Ì¼¤¶»Ó¡¶»¿Óµ×²¿µÄȱʧ×éÖ¯ÏòÉÏÔöÉú£¬ÀûÓÃÐÂÉú×éÖ¯À´ÌîÆ½¶»¿Ó¡£´«Í³¼¤¹âÐÞ¸´ÒÔÈ˹¤½øÐнϴóÃæ»ýµÄ×éÖ¯°þÍѵķ½Ê½½øÐУ¬È»¶øÕâÖÖ·½·¨¶ÔƤ·ôµÄÆÆ»µÐԴ󣬻áÒý·¢ºÜ¶à²¢·¢Ö¢£¬Èç¸ÐȾ¡¢°ÌºÛ¡¢É«ËسÁ×ŵȣ¬²¢ÇÒÐèÒªºÜ³¤µÄ»Ö¸´Ê±¼ä£¬Õû¸öÖÎÁƹý³Ì»¼ÕßÐèÈÌÊܽϴóÍ´¿à¡£
Èý¡¢É䯵±íƤ¼¤¹âÖØ½¨Êõ——ÍêÃÀÐÞ¸´Íç¹Ì¶»¿Ó
É䯵µãÕ󼤹â±íÆ¤ÖØ½¨ÊõÀíÂÛÓÉÃÀ¹ú¹þ·ð´óѧµÄ¼¤¹âҽѧר¼Ò£¬Í¨¹ý¸ßÐÔÄܵãÕ󼤹â²úÉúÕóÁÐÑùÅÅÁеÄ΢С¹âÊø×÷ÓÃÓÚÆ¤·ô£¬Æ¤·ô×é֯ˮÎüÊÕ¼¤¹âÄÜÁ¿ºó£¬Ðγɶà¸öÖùÐνṹµÄ΢СÈÈËðÉËÇø£¬ÔÚ±íÆ¤ÐγÉÒ»¸öÓɼ¤¹â×÷ÓõãÕó¼ä¸ô×é³ÉµÄׯÉÕÇø£¬¿ÉÖ±½Ó´©Í¸ÖÁÕæÆ¤²ã£¬ÔÚ˲¼äÆø»¯µôÖåÎÆ»ò°ÌºÛ´¦µÄ×éÖ¯£¬Í¬Ê±´Ì¼¤½ºÔµ°°×µÄÔöÉú£¬½ø¶øÆô¶¯×éÖ¯ÐÞ¸´¡¢½ºÔÖØÅŵÈһϵÁм¡·ô·´Ó¦£¬ÓÐЧÐÞ¸´Íç¹ÌÐÔ¶»Ó¡¶»¿Ó¡£
É䯵±íƤ¼¤¹âÖØ½¨Êõ»¼ÕßÖÎÁƵĹý³ÌÖÐ
¸Ã¼¼ÊõÖÎÁÆÇà´º¶»¶ÔƤ·ô»á²»»áÉËÆ¤·ô£¿µã»÷×ÉѯÔÚÏßר¼Ò 
É䯵µãÕ󼤹â±íÆ¤ÖØ½¨Êõ4´óÓÅÊÆ
1.³¬Ç¿²¨³¤ÍþÁ¦£ºÓ봫ͳ¼¤¹â²úÉúµÄƬ״ÈÈËðÉ˲»Í¬£¬É䯵µãÕ󼤹â±íÆ¤ÖØ½¨Êõÿ¸öMTZ ÖÜΧÐγɻ·ÐÎ×éÖ¯Äý¹Ì´ø»òÈÈËðÉË´ø£¬ÔÚÍâÖÜΪδËðÉ˵ÄÕý³£×éÖ¯£¬´Ó¶øÊ¹ÖÎÁÆºóÆ¤·ôÄÜ¿ìËÙ»Ö¸´£¬ÎÞÐèÐݼ١¢ÎÞ´«Í³°þÍÑÐÔÖÎÁƵķçÏÕ¡£
2.ÖÎÁÆÎÞÉ˺¦£ºÊä³ö¼ä¸ôʱ¼ä1-999ms¿Éµ÷µÄÂö³åCO2¼¤¹â£¬Äܸù¾ÝÁÙ´²µÄÐèҪѡÔñ²»Í¬µÄ¼ä¸ôʱ¼äÀ´½øÐÐÖÎÁÆ£¬µ±Ñ¡Ôñ999ms¼ä¸ôʱ¼äÊä³öʱ£¬¿ÉÒÔ×÷Ϊµ¥´ÎÊä³ö½øÐÐÖÎÁÆ£¬ÌرðÊʺÏÓÚÖ»ÐèÒªÒ»¸ö¼¤¹âÂö³åµÄÖÎÁÆ£¬ÈçÔÚÈËÌå×é֯ij¸ö²¿Î»´òÒ»¸öºÜС¡¢ºÜϸµÄС¿×¡£µ±¼¤¹âÊä³ö¼ä¸ôʱ¼äµ÷Ϊ×îСֵ1msʱ£¬¼´Ê¹ÔÚºÜС¼¤¹â¹¦ÂʵÄÇé¿öÏ£¬Ò²ÄÜ´ïµ½ºÜºÃµÄÇиîЧ¹û£¬±ÈÁ¬Ðø¼¤¹âÇиîÄÜÁ¦Ç¿£¬¶Ô×éÖ¯µÄÌ¿»¯Ð¡¡¢ËðÉËС£¬ÉË¿ÚÈÝÒ×ÓúºÏ¡£
3.¸öÐÔ»¯ÖÎÁÆ£ºÊä³öƵÂÊ1-999Hz¿Éµ÷µÄ³¬Âö³åCO2¼¤¹â¡£³¬Âö³åCO2¼¤¹â¾ßÓиßÄÜÁ¿¡¢¸ßÖØ¸´ÆµÂÊ¡¢¸ß¹¦ÂÊÃܶȵÈÌØµã£¬¸ßÄÜÁ¿"À伤¹âÊø"ÄÜ×î´óÏ޶ȼõÉÙ¼¤¹â¶ÔÕý³£×éÖ¯µÄËðÉË£¬¾ßÓв»½Ó´¥×éÖ¯¡¢²»³öѪ»òºÜÉÙ³öѪ£¬¾«Ï¸Çи¾«È·°þÀë×éÖ¯µÄ¹¦ÄÜ£¬ÌرðÊʺÏÓڰ̺ÛÐÞ¸´¡£ÈçÉÕÌÌÉ˰̺ۡ¢ÊÖÊõ°ÌºÛ¡¢°¼Í¹°ÌºÛ¡¢Æ½ÃæÉ«Ëذ̺۵ȵȡ£
4.°²È«ÎÞÓÇ£º²ÉÓÃÎÞÐòɨÃ跽ʽ(·ÇÏßÐÔɨÃè¼¼Êõ)·¢É伤¹â£¬¿ÉÒÔ×î´óÏ޶ȼõÉÙɨÃèÇøÓòÈÈËðÉË¡£Í¨¹ýϵͳÅäÖõĸßËÙͼÐÎɨÃèÆ÷£¬Êä³ö²»Í¬ÐÎ×´µÄͼÐΣ¬¿É¸ù¾Ý²»Í¬»¼ÕßµÄÐèÇó£¬Ìṩ¸öÐÔ»¯µÄÖÎÁÆ·½°¸¡£
ÏëÁ˽âµÄ¸ü¼ÓÏêϸ£¿Çëµã»÷×Éѯר¼Ò![]()
¡¾¿µ¸´°¸Àý¡¿ Ò»ÔÂÖÎÓú¶»Ó¡ÍçÖ¢ Çà´ºÉÙÅ®¾ªÌ¾ÉñÆæÒ½Êõ
Äϲýij¸ßУµÄСѩ»¼¶»Ó¡¶àÄê£¬Ôøµ½¹ý¶à¼ÒÒ½ÔºÖÎÁÆ£¬ÓÉÓÚ·½·¨²»¶Ô·£¬ÌرðÊDz»Êʵ±µØÓÃÁË´óÁ¿µÄ¼¤ËØ£¬²¡Çé·Çµ«Ã»ÓмõÇᣬ·´¶øÔ½À´Ô½ÖØ¡£Ò»´ÎżȻµÄ»ú»á£¬Ð¡Ñ©Í¨¹ýÍøÂç²éѯ£¬ÖªµÀÁËÄϲýÖÐɽƤ·ô²¡Ò½ÔºÊÇÒ»¼ÒÖªÃûƤ·ô²¡×¨ÒµÒ½Ôº£¬ÓÐ×ÅÖÎÁƶ»Ó¡µÄÏȽø¼¼Êõ£¬²¢ÓдóÁ¿µÄ³É¹¦°¸Àý£¬±ãĽÃûǰÀ´¾ÍÕï¡£
µ½ÔººóÖ÷ÖÎר¼ÒΪСѩ×öÁËÈ«Ãæ¿ÆÑ§µØ¼ì²é£¬¸ù¾Ý²¡Ç飬ΪËý²ÉÓÃÁËÎÒÔº×ÔÖ÷Ñз¢µÄ“É䯵µãÕ󼤹â±íÆ¤ÖØ½¨Êõ”½øÐÐÖÎÁÆ£¬ ÄÚ·þÇåÈȽⶾ¡¢ìî·ç³ýʪ¡¢Êè¸ÎÀíÆø£¬·¢»ÓÖÐÒ½±ê±¾¼æÖεÄÓÅÊÆ£¬×ÛºÏÖÎÁƶ»Ó¡£¬½öÓÃÒ»¸öÔ£¬¾ÍÍêÈ«ÖκÃÁËСѩµÄ¶»Ó¡¡£Õ½Ê¤“¶»Ó¡”³É¹¦ºóµÄÐ¡Ñ©ÃæÈݹâÔó×ÌÈ󡢯¤·ôƽ»¬Ï¸ÄÛ¡¢¾«Éñ±¥ÂúÛÇîå¡£¶ÔÓÚÄÜÕâô¿ì¾ÍÖκÃ×Ô¼º¶àÄêµÄÍçÖ¢£¬Ëý±íʾ¼È¾ªÏ²Óָм¤¡£
ÈçºÎÑ¡Ôñ×îºÃµÄÒ½ÔºÖÎÁÆ£¿
³öÏÖÇà´º¶»(¶»Ó¡¡¢·Û´Ì)ʱ£¬ÇÐÎðÔÚûÓмá³ÖÇå³þ¾Í×ÔÐÐÓÃÒ©¼°Æ´Ãü¼·Ñ¹£¬ÌرðÊdzöÏÖÔÚÃæ²¿µÄ¶»¶»£¬²Ù×÷²»µ±ÈÝÒ×ÁôÏÂñ£ºÛ¡£ÄϲýÖÐɽƤ·ô²¡Ò½ÔºÌáÐÑÄú£ºÒ½ÔºµÄ×ÊÖÊ¡¢ÁÙ´²¾Ñé¡¢Ò½ÁÆÉ豸¡¢»·¾³ÎÀÉú¡¢ÖÎÁÆ·½·¨µÈ¶¼¶Ôðî´¯ÖÎÁÆÐ§¹ûÓ°ÏìºÜ´ó£¬Òò´Ë£¬ÖÎÁÆÇà´º¶»ÒªÑ¡ÔñÕý¹æ×¨ÒµµÄÒ½Ôº¡£
1.¿´Ò½Ôº×ÊÖÊ£ºÄϲýÖÐɽƤ·ô²¡Ò½ÔºÊǹú¼ÒÕý¹æÈý¼¶Æ¤·ô²¡Ò½Ôº£¬×¨×¢ÓÚÆ¤·ô²¡µÄÑо¿ºÍÖÎÁÆ¡£ÊǽÎ÷ʡһËù¼¯Ò½ÁÆ¡¢½Ìѧ¡¢¿ÆÑС¢¿µ¸´µÈΪһÌåµÄƤ·ô²¡Ò½Ôº£¬ÉîÊܽÎ÷¼°ÖܱßÊ¡ÊÐÇà´º¶»»¼ÕßµÄϲ°®¡£
2.¿´Ò½Éú¼¼Êõ£ºÆ¤ÑÐËùÓµÓÐ×îÇ¿´óµÄר¼ÒÍŶӣ¬ÊìÁ·ÕÆÎÕÇà´º¶»ÏȽøÖÎÁƼ¼Êõ£¬Òý½øÄϲýÖÐɽר¼Ò¼¼Êõ“ÖÐÎ÷Ò½ÎåÁªÇå¶»Ó¡ÁÆ·¨”ÖÎÁÆÇà´º¶»£¬¸üÏÔÓÅÊÆ¡£ÈÃÇà´º¶»»¼ÕßÔÚÖÎÁƹý³ÌÖиü¼Ó°²È«¸ßЧ¡£
3.¿´Ò½ÔºÓ²¼þ£ºÄϲýÖÐɽ²»Ï§¸ß¼ÛÒý½ø¹úÍâ¶àÖÖÖÎÁƸßÐÂÉ豸£¬ÖÎÁƹý³ÌûÓÐÍ´¿à¡¢ÎÞ¸±×÷Óᢷ½±ã¿ì½Ý£¬ÊÇÄúÖÎÁÆÇà´º¶»×îÀíÏëµÄÑ¡Ôñ¡£
4.¿´Ò½Ôº¿Ú±®£ºÄϲýÖÐɽƤ·ô²¡Ò½Ôº×Ô³ÉÁ¢ÒÔÀ´£¬Ê¼ÖÕ¼á³Ö“ÒÔ»¼ÕßΪÖÐÐÄ”£¬´óÁ¦ºëÑï°×Çó¶÷¾«Éñ£¬Â½ÐøÍƳö¿´²¡Ô®ÖúµÈ¹«Òæ»î¶¯£¬°ïÖúÀ§ÄÑ»¼Õß¼õÇḺµ££¬Ò²Ó®µÃÁË»¼ÕߵĹã´óºÃÆÀ¡£
ÄϲýÖÐɽƤ·ô²¡Ò½ÔºÍÆÐÐÒÔÈËΪ±¾µÄ·þÎñÀíÄ×ðÖØºÍ±£»¤»¼ÕߵĸöÈËÐÅÏ¢ºÍÒþ˽¡£³«µ¼"ÓÃÐÄÇãÌý¡¢Ï¸ÐÄÕï¶Ï¡¢ÄÍÐĽâ´ð¡¢¾«ÐÄÖÎÁÆ¡¢ÈÈÐÄ·þÎñ¡¢ÖÔÐÄ×£¸£"µÄ"ÁùÐÄ" ·þÎñ¡£Ò½Ôº²»¶ÏÍêÉÆÒ½ÁÆÖÊÁ¿ºÍ°²È«¿ØÖÆÌåϵ£¬ÑÏ·ÀÒ½ÁÆÊ¹ʣ¬±£ÕÏÒ½Áư²È«£¬Ìá¸ßÒ½ÁÆ·þÎñµÄ°²È«ÐÔºÍÓÐЧÐÔ¡£²ÉÓùú¼ÊÁ÷ÐГһ»¼Ò»Ò½Ò»ÕïÊÒ”µÄ˽ÃÜÎÊÕïÖÆ¶È£¬È«³ÌÈËÐÔ»¯·þÎñ£¬¾ÍÕï»·¾³¶ÀÁ¢¡¢°²È«£¬¼õÇỼÕß¾ÍҽѹÁ¦£¬±£»¤ÁËÿ¸ö»¼ÕßµÄÒþ˽¡£
ÌØ±ðÌáʾ£ºÒªÏëÖÎÁƺü²²¡£¬»¼ÕßÊ×ÏȾÍÒªÊ÷Á¢ÐÅÐÄ£¬È»ºó»ý¼«ÅäºÏÒ½ÉúÖÎÁÆ£¬Ñϸñ°´ÕÕÒªÇóÖ´ÐУ¬ÕâÑù²ÅÄܵõ½¸ü¿ìµÄ¿µ¸´£¬»¼ÕßÈç¹ûÓÐʲô²»Êæ·þµÄµØ·½£¬Ò»¶¨Òªµ½Ò½Ôº¼ì²é¾ÍÕÒòΪ¼²²¡²»»áÒòΪÄúµÄÍÏÑÓ¶øºÃµÄ£¬µ«Êǿ϶¨»áÒòΪ²»¼°Ê±ÖÎÁƶø¼ÓÖØ£¬ËùÒÔ¼°Ê±¾ÍÒ½£¬Ôç¼ì²é£¬ÔçÖÎÁÆÊÇ×îºÃµÄ¡£
ÔÚÏß×ÉѯԤԼ¾ÍÕïÓÅÊÆ
¡ïÔÚÏßÃâ·Ñ×Éѯ——ȨÍþƤ·ô²¡×¨¼Ò24СʱÔÚÏßÒ»¶ÔÒ»“ÎÊÕï”
¡ïÌáǰԤԼ¹ÒºÅ——Ãâר¼Ò¹ÒºÅ·Ñ¡¢Ãâ»áÕï·Ñ¡¢ÓÅÏȾÍÕÇáËɾÍÒ½¡£
¡ï¼ÙÈÕר¼ÒÃÅÕï——·½±ã»¼ÕßÐÝÏ¢ÈÕ¿´²¡£¬²»Ó°ÏìÉϰ࣬Ìṩ¸üÈËÐÔ»¯·þÎñ¡£
ÎÂܰÌáÐÑ£ºÄϲýÖÐɽƤ·ô²¡Ò½Ôº»ã¾ÛÈ«¹úƤ·ô¿ÆÃûÒ½£¬Òý½øÒ»Á÷µÄÕïÁÆÉ豸£¬´òÔ컪¶«µØÇø“ר²¡¡¢×¨Ò½¡¢×¨ÖΔ×îרҵµÄƤ·ô²¡ÕïÁÆ»ùµØ¡£ÎªÁËÂú×㻼ÕߵľÍÒ½ÐèÇó£¬ÌØ¿ªÍ¨ÁËÃâ·ÑÍøÉÏ×ÉѯÓëÔ¤Ô¼£¬¸ü¼Ó·½±ã¿ì½ÝµÄΪ»¼Õß·þÎñ¡£ÍøÂçÈ«ÌìºòÕï£¬ÍøÉϹҺÅÖ±½Ó¾ÍÕÎÞÐèµÈºò£¬Îª¹ã´ó»¼Õß½Úʡʱ¼ä£¬ÊÇÆ¤·ô²¡»¼Õß×îÖµµÃÐÅÀµµÄÒ½Ôº¡£¡£
Ò½Ôºµç»°£º0791-88116677 ½ÓÕïʱ¼ä£º 8:00-17:30(½Ú¼ÙÈÕ²»ÐÝ)
QQ£º77891588
Ò½ÔºµØÖ·£º½Î÷Ê¡ÄϲýÊÐÎ÷ºþÇøÕ¾Ç°Î÷·49ºÅ¡¢173ºÅ
³Ë³µÂ·Ïߣº³Ë×ø5·¡¢6·¡¢18·ÄÚÏß¡¢18·ÍâÏß¡¢26·ÄÚ»·¡¢26·Íâ»·¡¢206·¡¢219·³¤°à¿Õµ÷¡¢221·¿Õµ÷¡¢225·³¤°à¿Õµ÷¡¢ 230·¿Õµ÷¡¢233³¤°à¡¢233·¡¢305·¡¢305Ò¹¡¢310·¡¢316·µ½Êй«½»×ܹ«Ë¾Ï³µ¼´¿É¡£
×Ô¼Ò³µÏß·£º½Î÷Ê¡ÄϲýÊÐÎ÷ºþÇøÕ¾Ç°Î÷·49ºÅ¡¢173ºÅ¼´µ½
- ÉÏһƪ£ºÄϲý°µºìÉ«¶»Ó¡Ôõôȥ³ý
- ÏÂһƪ£ºÄϲýÈçºÎÈ¥¶»¿Ó
- ¡ï¡ï¡ï¡ï¡ï
- 5.0
- 5.0
- 5.0
- ÎÒÒªÆÀÂÛ



















¿ÆÊÒÒ»ÀÀ










