ţƤѢ
À´Ô´£ºÄϲýÖÐɽƤ·ô²¡Ò½Ôº¡¾×¨¼ÒÔÚÏß×Éѯ¡¿

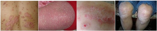
ÒøÐ¼²¡£¨Psoriasis£©Ë׳ÆÅ£Æ¤Ñ¢£¬×æ¹úҽѧ³ÆÒøÐ¼²¡Îª“°×¯H”£¬Êdz£¼ûµÄÂýÐÔ£¬¸´·¢ÐÔ£¬Ñ×Ö¢ÐÔµÄ Æ¤·ô²¡¡£ÆäÌØÕ÷ÊdzöÏÖ´óС²»µÈµÄÇðÕºì°ß£¬±íÃæ¸²¸Ç×ÅÒø°×É«ÁÛм£¬±ß½çÇå³þ£¬ºÃ·¢ÓÚͷƤ£¬ËÄÖ«Éì²à¼°±³²¿¡£ÄÐÐÔ¶àÓÚÅ®ÐÔ¡£´º¶¬¼¾½ÚÈÝÒ׸´·¢»ò¼ÓÖØ£¬¶øÏÄ Çï¼¾¶à»º½â¡£ÒøÐ¼²¡¿ÉÒÔÔÚÈκÎÄêÁä·¢²¡£¬µ«ÔÚ10ËêÒÔÏ·¢²¡½ÏÉÙ£¬·¢²¡¸ß·åÔÚ15¡«30ËêÖ®¼ä¡£µäÐÍµÄÆ¤·ô±íÏÖÊǾ³½çÇå³þµÄ¾ßÓÐÒø°×É«ÁÛмµÄºìÉ«°ß¿é¡£Çá Õ߿ɱíÏÖΪ¼¸¸öÒø±Ò´óСµÄÖâÏ¥²¿Î»°ß¿é£¬ÖØÕßÒ²¿ÉÒÔÈ«ÉíÆ¤·ôÊÜÀÛ¡£
ÉîÈëÁ˽âÄϲý±È½ÏºÃµÄƤ·ô²¡Ò½Ôº
ÓÐÏàËÆÖ¢×´£¬Ãâ·Ñµã»÷Ïòר¼Ò×ÉѯһÏÂ<<<
ţƤѢ²¡Òò£º
±¾²¡µÄ²¡ÒòÉв»ÍêÈ«Ã÷È·£¬½üÄêÀ´´ó¶àÊýѧÕßÈÏΪÓëÒÅ´«£¬¸ÐȾ£¬´úлµÄÕϰ£¬ÃâÒß¹¦ÄÜÕϰ£¬ÄÚ·ÖÃÚÕϰµÈÓйء£
1.ÒÅ´« ¸ù¾ÝÁÙ´²Ëù¼û£¬±¾²¡³£ÓмÒ×åÊ·£¬²¢ÓÐÒÅ´«ÇãÏò¡£Ë«Ç×Ö®Ò»»¼ÒøÐ¼²¡£¬ÆäºóÒá·¢²¡ÂʽϽ¡¿µÕß×ÓÅ®¸ß3±¶Ö®¶à£¬ÈôË«Ç×½Ô»¼ÒøÐ¼²¡£¬ÆäºóÒá·¢²¡Âʸü¸ß¡£
2.¸ÐȾ ÁÙ´²Êµ¼ùÖ¤Ã÷ÒøÐ¼²¡µÄ·¢²¡ÓëÉϺôÎüµÀ¸ÐȾºÍ±âÌÒÏÙÑ×Óйء£ÓÐ6%µÄÒøÐ¼²¡»¼ÕßÓÐÑʲ¿¸ÐȾʷ¡£Í¬Ê±»¹·¢Ïֺܶà¶ùͯµÄÒøÐ¼²¡Óë±âÌÒÏÙÑ×ÓÐÃÜÇйØÏµ¡£
3.´úлÕϰ ¹ýÈ¥ÓÐÈËÈÏÎªÒøÐ¼²¡µÄ·¢²¡ÓëÖ¬Àà´úлÎÉÂÒÓйء£Ä¿Ç°¹ØÓÚ±¾²¡µÄ²¡ÒòÒѲ»ÄÜÈÏΪÓÉÀàÖ¬ÖÊ´úлÎÉÂÒÒýÆðµÄ¡£¶ø¶à´Óø´úлµÄ¸Ä±äÀ´½øÐÐÑо¿¡£ÔÚÕý³£ÈËµÄ±íÆ¤ÄÚÓÐËÄÖÖø£¬¶øÔÚÒøÐ¼²¡»¼Õߵį¤ËðÄÚÔòȱÉÙÆäÖжþÖÖ£¬Æ¤ËðÖÎÓúºó£¬ÆäÖÐÁ½ÖÖøÓÖÖØÐ³öÏÖ¡£>>>ÏêÇéÇë×ÉѯÔÚÏßר¼Ò<<<
4.ÃâÒß¹¦ÄÜÕϰ ÒøÐ¼²¡ÓëÃâÒߵĹØÏµÒ»Ö±Êܵ½¹ã·ºÖØÊÓ¡£ÁÙ´²ÉÏÓÐÓÃÃâÒßÒÖÖÆ¼ÁÖÎÁƱ¾²¡Êܵ½³ÉЧµÄÀý×Ó¡£ÒøÐ¼²¡»¼Õß´æÔÚ¶àÖÖ¾Ö²¿»òϵͳÐÔÃâÒß¹¦ÄÜÒì³££¬Ä¿Ç°¹ØÓÚ±¾²¡µÄÃâÒß·¢²¡»úÀíÉÐδÍêÈ«Çå³þ¡£±È½ÏÁ÷ÐеĿ´·¨ÊÇ£¬ÒøÐ¼²¡ÊÇÓɻµÄTϸ°ûÒýÆðµÄ±íƤϸ°ûÔöÉúÐÔ¼²²¡¡£
5.ÄÚ·ÖÃÚÕϰ ÒøÐ¼²¡Óë¼¤ËØµÄ¹ØÏµ£¬ÔçÒÑÊܵ½ÈËÃǵÄÖØÊÓ¡£±¾²¡ÓëÈÑÉ·ÖÃ䣬²¸ÈéÆÚ£¬Ô¾ÆÚÓйء£ÎÒÃÇÔÚÁÙ´²ÉϹ۲쵽£¬²¿·ÖÒøÐ¼²¡»¼ÕßÔÚÈÑÉïÆÚƤÕî¼õÇá»òÏûÍË¡£µ«ÊÇÓеĸ¾Å®ÔÚÈÑÉïÆ¤Ëð¼Ó¾ç»ò¶ñ»¯£¬Òò´ËÒ²ÓеÄʹÓó¤Ð§±ÜÔÐÒ©ÖÎÁƱ¾²¡»ñµÃÒ»¶¨ÁÆÐ§µÄ±¨µÀ¡£
6.ÆäËû È羫ÉñµÄ´´ÉË£¬ÍâÉË»òÊÖÊõ£¬³±Êª£¬ÑªÒºÁ÷±äѧµÄ¸Ä±ä£¬ÒÔ¼°Àí»¯ÒòËØ¼°Ò©Îï´Ì¼¤µÈ£¬¶ÔÒøÐ¼²¡»¼Õߵķ¢²¡Ò²ÓÐÒ»¶¨¹ØÏµ¡£
ÏëÁ˽â¸ü¶àţƤѢÇëµã»÷Ãâ·Ñ×ÉѯÔÚÏßר¼ÒÒ»¶ÔÒ»½»Á÷<<<
¼ø±ðÕï¶Ï£º>>>¸ü¶àÏêÇ飬Çë¹Ø×¢ÖÐɽţƤѢרÌâ<<<
ÒøÐ¼²¡ ºì°ß±ß½çÇå³þ£¬»ùµ×½þÈóÃ÷ÏÔ£¬³Ê°ßƬ״£¬±íÃæ¸²¸ÇÁÛмºñ¶ø¸ÉÔ³ÊÒø°×É«£¬¹Î³ýÁÛмºó¿É¼û·¢ÁÁµÄ°ë͸Ã÷±¡Ä¤£¬Ôٹγý±¡Ä¤¿É¼ûµã×´³öѪ¡£ÕâÊÇÒøÐ¼²¡ÓëÆäËûºì°ßÁÛм¼²²¡¼ø±ðµÄÒªµã¡£
Ö¬ÒçÐÔÆ¤Ñ× ºì°ß±ßÔµ²»Ê®·ÖÏÊÃ÷£¬»ùµ×²¿½þÈó½ÏÇᣬÁÛмÉÙ¶ø±¡£¬³Êµ»ÆÉ«ÓÍÄåÐÔ£¬¹Î³ýºóûÓб¡Ä¤ÏÖÏó¼°µã×´³öѪ¡£
õ¹å¿·Õî ºÃ·¢ÓÚÇû¸É¼°ËÄÖ«½ü¶Ë£¬Îª¶àÊýÍÖÔ²ÐÎС°ßƬ£¬Æä³¤ÖáÑØÀ߹Ǽ°Æ¤ÎÆ·½ÏòÅÅÁУ¬ÁÛмϸС¶ø±¡¡£´ó¶àÊý²¡ÈËÊýÖܺó¿É×ÔÓú£¬ÏûÍ˺ó²»Ò׸´·¢¡£·¢²¡Ê±³£ÏÈÓÐÒ»¸öĸ°ß£¬ÒÔºóÖð½¥Ôö¶à¡£
¸±ÒøÐ¼²¡ ½ÏÉÙ¼û¡£Æä±íÃæÁÛм½Ï±¡£¬ÖÜΧÑ×Ö¢Çá΢£¬Ã»Óб¡Ä¤ÏÖÏó¼°µã×´³öѪ£¬Ã»ÓÐÈκÎ×Ô¾õÖ¢×´¡£
ÅÌ×´ºì°ßÀÇ´¯ ºÃ·¢ÓÚÃæ²¿£¬ÌرðÊÇÁ½¼ÕºÍ±Ç±³²¿£¬³ÊµûÐηֲ¼¡£ºì°ß¾³½çÇå³þ£¬±íÃæ¿É¼ûëϸѪ¹ÜÀ©ÕÅ¡£ÆäÁÛмΪճ×ÅÐÔÁÛм£¬Óëºì°ßÕ³¸½½ôÃÜ£¬°þÀëÁÛм£¬¿É¼ûÆäÏÂÀ©ÕŵÄëÄÒ¿Ú£¬ÁÛмµ×ÃæÓкܶà´Ì×´½ÇÖÊÍ»Æð¡£²¡³ÌÈվ㬿ɼûËðº¦ÖÐÐÄήËõ°¼ÏÝ£¬É«Ëظı䡣
ÂýÐÔʪÕî ³£¿É±íÏÖΪºì°ß£¬Éϸ²ÁÛм£¬ºÃ·¢ÓÚСÍȲ¿¡£µ«ÂýÐÔʪÕî¶à°éÓоçÁÒðþÑ÷£¬Æ¤ËðÁ½²à¶Ô³Æ£¬Æä½þÈó³Ì¶È½ÏÒøÐ¼²¡ÎªÖØ£¬±íÃæÁÛм½Ï±¡£¬²»³ÊÒø°×É«£¬»ùµ×É«ºì£¬¿ÉÓÐÉøË®¡£
¶Ô±ÈͼƬ£º >>>¿µ¸´°¸Àý£ºÅ£Æ¤Ñ¢»¼ÕßÔÚÖÐɽÓÀ´Ã÷Ìì<<<
Ïë½â³ýÐÄÀí·³ÄÕ£¬²»Èçµã»÷Ãâ·Ñ×ÉѯÔÚÏßר¼Ò¡¶¡¶
Ñî¾êÔÚ¶àÄêÇ°Ôø¾»¼¹ýţƤѢ£¬µ±Ê±ÒòΪ²¡Çé²»ÊǺÜÑÏÖØ£¬ÔÙ¼ÓÉϼ°Ê±ÖÎÁÆ£¬ºÜ¿ì¾ÍÖκÃÁË¡£È»¶øÏÖÔÚËæ×ÅÄêÁäµÄÔö³¤£¬Ñî¾êµÄÃâÒßÁ¦Öð½¥½µµÍ£¬ÔÚÊܵ½Íâ½ç·çº®´Ì¼¤ºó£¬Ò»´ÎÖØ¸Ðð£¬ËûµÄţƤѢÔÚÒ»Äêǰ¸´·¢ÁË¡£Æ¤ËðÊǽçÏÞÇå³þµÄºì°ß£¬Éϸ²¸ÇÓкܺñµÄ»Ò°×É«»òÒø°×É«µÄÁÛм¡£Æ¤ËðÓжàÖÖÐÎ̬£¬Ð¡µÄ³ÊµãµÎ×´£¬½Ï´óµÄ³ÊÇ®±Ò×´»ò»·×´£¬ÍȲ¿Æ¤Ëð³¤ÆÚ²»ÍË£¬³ÊµØÍ¼×´Íâ¹Û¡£¶øÇÒ²»×¡µÄÄÓ»¼´¦Ö®ºó£¬Çé¿öÔ½À´Ô½ÑÏÖØ£¬Ã÷ÖªµÀ²»ÄÜÈ¥ÄÓ£¬µ«ÊÇÈ´ÄͲ»×¡ÄÇÆæÑ÷ÎޱȵÄÍ´³þ¡£
Ñî¾êÔÚ°ëÄêǰ¾ÅóÓѵĽéÉÜÏÂÀ´µ½ÁËÄϲýÖÐɽƤ·ô²¡Ò½Ôº£¬Å£Æ¤Ñ¢È¨Íþר¼ÒÉò³¯Â»¸ù¾ÝËûµÄÇé¿öΪËûÖÆ¶¨ÁËÏêϸµÄÖÎÁƼƻ®£¬²ÉÓÃÁËÄϲýÖÐɽƤ·ô²¡Ò½ÔºÈ¨Íþר¼Ò×éÌØ±ðÍÆ³öµÄCPCţƤѢÕûÌ念¸´Ìåϵ£¬ÖÎÁÆÈý¸öÁƳÌÖ®ºó£¬²¡ÇéºÃת£¬Æ¤ËðÑÕɫԽÀ´Ô½µ£¬ÁÛмÓɶàÖð½¥±äÉÙ£¬Æ¤ËðÓɺñÖ𽥱䱡±äƽ¡£ÓÐµÄÆ¤ËðÏÈ´Ó±ßÔµ¿ªÊ¼£¬Öð½¥ËõС£¬´ó¿éƤËðÏÈ´ÓÖм俪ʼ·Ö»¯£¬±ä³É¼¸¸öС¿é£¬×îºóƤËðÍêÈ«ÏûÍË¡£Ö®ºó£¬Ñî¾êÓÖ¹®¹ÌÖÎÁÆÒ»¸öÁƳ̣¬ÖÎÓúÖ®ºó£¬Å£Æ¤Ñ¢Ã»Óи´·¢µÄ¼£Ïó¡£
ţƤѢԤ·À£º
ÎÄÕÂÌ«³¤£¬²»ÈçÖ±½Óµã»÷Ãâ·Ñ×ÉѯÔÚÏßר¼Ò<<<
Ò»¡¢Ô¤·À¸ÐȾ£º¾Ö²¿¸ÐȾÔîÊÇÓÕ·¢Å£Æ¤Ñ¢µÄÒ»¸öÖØÒªÔÒò£¬ÓÈÆäÊǸÐðºó£¬²¢·¢±âÌÒÌåÑס¢Æø¹ÜÑ×£¬ÐèÒª»ý¼«ÖÎÁÆ£¬¾¡Á¿Ëõ¶Ì²¡³Ì¡£
¶þ¡¢¹ýÃôÒòËØ£ºÊÇţƤѢµÄÖØÒªÓÕ·¢ÔÒòÖ®Ò»¡£ÓÉÓÚÒûʳ»ò·þÓÃÒ©Î»ò½Ó´¥Ä³ÖÖÎïÖʶø¹ýÃô£¬³£¿ÉÓÕ·¢Å£Æ¤Ñ¢µÄ·¢Éú¡£
Èý¡¢Êܳ±×ÅÁ¹£ºÊܷ纮ÇÖÏ®¶øÓÕ·¢Å£Æ¤Ñ¢µÄΪÊý½Ï¶à£¬ÓÉÓÚ¾Óס»·¾³³±Êª¡¢ÌìÆøº®À䣬¿Éʹ±¾²¡·¢Éú»ò¼ÓÖØ£¬ Òò´Ë»¼ÕßÓ¦¾¡Á¿±ÜÃâ´óÀä´óÈȴ̼¤Æ¤·ô£¬×¡ÊÒ±£³Öͨ·ç¸ÉÔï¡£
ËÄ¡¢¾«ÉñÒòËØ£º¹ý¶ÈµÄ¾«Éñ½ôÕÅ£¬ÐÔÇé¼±ÔÇéÐ÷ÒÖÓôµÈ¾«ÉñÒòËØÎªÓÕÒò£¬Õ¼Æä ËüÓÕÒòÖ®Ê×£¬ÔÚÎÒ¹úԼռţƤѢ×Ü·¢²¡ÂʵÄ18.6%¡£ ¾«Éñ¹ý¶È½ôÕÅ£¬¿É²úÉúһϵÁÐÐÄÀí»òÉúÀí·´Ó¦£¬´ÙʹÉñ¾ÄÚ·ÖÃÚÎÉÂÒ£¬Ë𺦻úÌåÃâÒß·ÀÓùϵͳ£¬¼°Ä³Ð©Ã¸µÄ´úлÎÉÂÒ£¬´Ó¶ø´Ù½øÁËţƤѢµÄ·¢Éú£¬Òò´ËÔÚÓöÓв»¿É¿¹ ¾ÜµÄ»òÎÞ·¨Ô¤ÖªµÄÍ»·¢ÊÂÇ飬»¼ÕßÓ¦¾¡Á¿¿ØÖÆÇéÐ÷£¬±£³Öƽ¾²ÐÄÇ飬±£Ö¤³ä×ãµÄ˯Ãßʱ¼ä£¬±ØÒªÊ±¿É·þÓÃÊÊÁ¿Õò¾²¼Á¡£
Îå¡¢É÷ÓÃÏÂÁпØÖÆÐÔÒ©ÎÊ×´ÎÑ¡ÓÃʲôÑùµÄÒ©ÎïÀ´ÖÎÁÆÅ£Æ¤Ñ¢£¬¶ÔÆäÁÆÐ§¼°Óú ºóÊÇ·ñ¸´·¢Æð¹Ø¼ü×÷Óá£Ä¿Ç°³£ÓÃÓÚ¿ØÖÆÅ£Æ¤Ñ¢µÄÒ©ÓÐÆ¤Öʼ¤ËØÀà¡¢¿¹Ö×ÁöÀàµÈ¡£ ƤÖʼ¤ËØ¿ØÖÆÒøÐ¼²¡ËäÈ»¼ûЧ¿ì¡¢Ê¹Ó÷½±ã£¬µ«¸±×÷Óúܴ󣬳ÉÎªÖØÖ¢Å£Æ¤Ñ¢µÄÖ÷ÒªÓÕÒò£¬¹Ê¶ÔÒ»°ã»¼Õß²»ÄÜÀÄÓü¤ËØ£¬±ØÐëʹÓÃʱҲֻÄÜÍâÓûòÔÚÒ½ÉúµÄÖ¸µ¼ÏÂÕý ¹æÊ¹Óá£
×ÜÖ®£¬Å£Æ¤Ñ¢µÄÓÕ·¢ÔÒòºÜ¶à£¬Ö»Óл¼ÕßÔÚÈÕ³£Éú»îÖжà¼Ó×¢Ò⣬עÒâ»·¾³ÎÀÉú£¬»ý¼«Ïû³ýÓÕ·¢ÒòËØÈç¼É¾Æ¡¢¼ÉÐÁÀ±¡¢ÓãϺ¡¢º£Î¶¡¢ÑòÈâ¼°ÐÈ·¢¶¯·çÖ®ÎÉ÷·À¸Ðð¡¢±âÌÒÌå·¢Ñ×£¬»¼²¡Òªµ½Õý¹æÒ½ÁƲ¿ÃÅÖÎÁÆ£¬É÷ÓÃÓÐЩ¿ØÖÆÐÔÒ©ÎïµÈµÈ£¬²ÅÄܼõÉÙ¸´·¢»ú»á¡£
ţƤѢÖÎÁÆ£º
µã»÷Ãâ·Ñ×ÉѯÁ˽âÖÎÁÆÅ£Æ¤Ñ¢¸Ã¼¼ÊõÏêÇé¡¶¡¶¡¶
ÄϲýÖÐɽƤ·ô²¡Ò½Ôº“CPCţƤѢÕûÌ念¸´Ìåϵ”Èý´ó×ÅÁ¦µãÖðÒ»¹¥ÆÆÅ£Æ¤Ñ¢¡£

ÎÒÔºÖÎÁÆÅ£Æ¤Ñ¢Òý½øµÄ¿Éµ÷ʽÖÐҩѬÕôÖÎÁÆÒÇ
»¹ÊDz»¶®ÁÆ·¨?µã»÷Ãâ·Ñ×ÉѯÔÚÏßר¼ÒΪÄã½â³ýÒÉ»ó
Ò»¡¢Çå³ý£¨clear£©--ÖÐÒ©¾»ÑªÁÆ·¨Çå³ýѪ¶¾¡£µÚÒ»¸ö×ÅÁ¦µã¾ÍÊÇÀûÓþ»ÑªÁÆ·¨ÅäºÏÌØÖʵÄÖÐÒ©·½Çå³ýÈËÌåѪ¶¾¡£ÒòΪţƤѢµÄ·¢²¡ÒòËØ²»È·¶¨£¬¿Ú·þÖÐÒ©¶ÔÈËÌå¸ÉÈÅËðº¦Ð¡£¬¿ÉÒÔ¼õÉÙ¶¾¸±×÷Óá£
¶þ¡¢ÉøÍ¸£¨penetration£©--ÖÐÒ©³¬µ¼ÉøÍ¸ÖÎÁÆ¡£ÔËÓùú¼ÊÒ½Ò©´«µ¼¼¼ÊõÁìÓò×îпÆÑгɹû“³¬µ¼ÉøÍ¸¼¼Êõ”£¬Ö±´ïƤ·ô±í²ã»¼²¡Ï¸°û£¬Ê¹Ò©ÎïµÄ»îÐԳɷ֣¬³Ö¾Ã×÷ÓÃÓÚ²¡ÔÁÆÐ§¸üÎȶ¨£¬´ïµ½±ê±¾¼æÖεÄЧ¹û¡£
Èý¡¢¹®¹Ì£¨consolidate£©--¹®¹ÌÖÎÁÆ£¬¾ÀÕýÃâÒßÒì³£¡£Í¨¹ý¶Ô»úÌåµÄ¶à;¾¶¡¢¶à°ÐµãµÄÕûºÏµ÷¿Ø×÷Óã¬Ê¹»úÌåµÄÉñ¾--ÄÚ·ÖÃÚ--ÃâÒßϵͳ´¦ÓÚÎȶ¨×´Ì¬¡£
ÄϲýÖÐɽƤ·ô²¡Ò½ÔºÅ£Æ¤Ñ¢ÕïÁÆÖÐÐÄÓɹúÄÚÖªÃûµÄ¡¢¶ÔţƤѢÓÐÌØÊâÑо¿µÄÖªÃûƤ·ô²¡Éò³¯Â»½ÌÊÚ¡¢ãÆÈÙÀÚר¼ÒÖ÷ÈΡ¢ÖÜÒäÔÆÖ÷Èεȶàλר¼Ò×øÕËûÃÇÁÙ´²¾Ñé·á¸»£¬Ñо¿ÉîÈë¡£±ÏÒµÓÚÎ人´óѧ£¬´ÓÊÂÆ¤·ô²¡µÄ¿ÆÑÐÓëÕïÁƹ¤×÷30ÓàÄ꣬¾³£Ó¦Ñû²Î¼Ó¸÷ÖÖÆ¤·ô¼² ²¡´ó»á£¬ºÍѧÊõ½çÌ©¶·Ò»ÆðÑо¿Æ¤·ô¼²²¡µÄ¾ÈÖΣ¬²»¶ÏÍØÕ¹×îÐÂÐÅÏ¢£¬Ñ§Ï°Ð嵀 ¼¼ Êõ¼°¾Ñé¡£¾¤¾¤ÒµÒµµÄ¹¤×÷̬¶È£¬ÉîÊܹã´ó»¼Õߵİ®´÷ºÍÐÅÀµ£¬Òµ½çÈËÊ¿µÄÈÏ¿ÉÓë¿Ï¶¨¡£ ÔËÓùú¼Ê×îм¼ÊõCPCţƤѢÕûÌ念¸´Ìåϵ¡¢308×¼·Ö×Ó¼¤¹âϵͳ¡¢311ÕÆµÖÎÁÆÒÇÖÎÁÆÍÑ·¢¡¢°×ñ°·ç¡¢ÒøÐ¼²¡ÁÆÐ§ÏÔÖø£¬Êܵ½¹ã´ó»¼ÕßµÄºÃÆÀ¡£
ÔÚÏß×ÉѯԤԼ¾ÍÕïÓÅÊÆ£º
¡ïÔÚÏßÃâ·Ñ×Éѯ——ȨÍþƤ·ô²¡×¨¼Ò24СʱÔÚÏßÒ»¶ÔÒ»“ÎÊÕï”
¡ïÌáǰԤԼ¹ÒºÅ——Ãâר¼Ò¹ÒºÅ·Ñ¡¢Ãâ»áÕï·Ñ¡¢ÓÅÏȾÍÕÇáËɾÍÒ½¡£
¡ï¼ÙÈÕר¼ÒÃÅÕï——·½±ã»¼ÕßÐÝÏ¢ÈÕ¿´²¡£¬²»Ó°ÏìÉϰ࣬Ìṩ¸üÈËÐÔ»¯·þÎñ¡£
Ò½Ôºµç»°£º0791-88116677 ½ÓÕïʱ¼ä£º 8:00-17:30(½Ú¼ÙÈÕ²»ÐÝ)
QQ£º77891588
Ò½ÔºµØÖ·£º½Î÷Ê¡ÄϲýÊÐÎ÷ºþÇøÕ¾Ç°Î÷·49ºÅ¡¢173ºÅ
³Ë³µÂ·Ïߣº³Ë×ø5·¡¢6·¡¢18·ÄÚÏß¡¢18·ÍâÏß¡¢26·ÄÚ»·¡¢26·Íâ»·¡¢206·¡¢219·³¤°à¿Õµ÷¡¢221·¿Õµ÷¡¢225·³¤°à¿Õµ÷¡¢ 230¿Õ¡¢230·¿Õµ÷¡¢233³¤°à¡¢233·¡¢305·¡¢305Ò¹¡¢310·¡¢316·µ½Êй«½»×ܹ«Ë¾Ï³µ¼´¿É¡£
»ð³µÕ¾Ïß·£º³Ë×ø305·(»ò18·ÄÚÏß,219·³¤°à¿Õµ÷,5·,221·¿Õµ÷), ÔÚ“Êй«½»×ܹ«Ë¾Õ¾”ϳµ¼´¿É¡£
- ÉÏһƪ£ºÅ®ÐÔµÃÁËţƤѢÔõô°ì
- ÏÂһƪ£ºÅ£Æ¤Ñ¢ÔõôÖÎÁÆ
- ¡ï¡ï¡ï¡ï¡ï
- 5.0
- 5.0
- 5.0
- ÎÒÒªÆÀÂÛ












¿ÆÊÒÒ»ÀÀ










