体癣症状是如何体现的?
来源:南昌中山皮肤病医院【专家在线咨询】

体癣症状是如何体现的?体癣在皮肤病当中是一种很常见的皮肤疾病,这是很多人都了解的问题。但却没几个知道体癣的症状表现是怎么样的,究竟体癣的症状有哪些呢?下面请我院专家为大家详细的介绍一下关于体癣症状表现吧。
体癣的组合症状
》》》描述不清楚,点击在线免费咨询专家了解体癣症状 《《《
南昌中山皮肤病医院专家介绍指出:除去头部、掌跖、腹股沟、阴性部等以外,人体表面光滑皮肤感染皮肤癣菌所发生的皮肤病统称为体癣。又名圆癣或金钱癣。本病常见病原菌为红色毛癣菌、石膏样毛癣菌、絮状表皮癣菌、紫色毛癣菌以及上述头癣之病原菌。体癣多见于儿童其次是青少年。本病临床表现与致病真菌种类及个体反应有关。皮疹始为红斑或丘疹、随后损害渐渐呈远心性向四周扩展,病灶中央有自愈倾向,日久成为环形。环的边缘稍为比邻近正常皮肤高起,该处炎症状较明显、其上有小丘疹、水疱或鳞屑附着。有时,环形中央又可出现皮疹,新的皮损也渐渐扩大成环形,如此陆续发生而形成多层同心环,境界格外彰明。本病皮损大小有差别数目也不定,以1~2个或数个居多,全身泛发较少见,且分布也不呈对称。但如果患者有免疫缺陷病或长期使用皮质激素和免疫抑制剂时,皮疹有可能出现全身播散状分布。
消癣净毒疗法治疗设备
>>>>>想要科学治疗体癣?免费点击在线专家为您制定治疗方案
消癣净毒疗法治疗优势:
迅速吸收,效持久,物直接作用于脏腑及血液;能将病灶的病损组织彻底去除,切断遗传源,捣毁病菌繁殖环境;能改善皮肤微循环,促进新陈代谢,激活组织新生,恢复皮肤表层及深层的受损组织;恢复皮肤正常生理功能,重新组建被破坏中断的血管网,恢复正常血运,使病区皮肤营养供给正常,增强抵抗力和免疫力;无论病史长短,患者面积大小,何种类型,均可在短期内使皮肤痒感消失,除屑消斑,肌肤迅速恢复正常,光洁滑润;极易进入血液消除血中毒素,有效抑制核糖核酸活力,从根本上控制手足体癣不再复发。
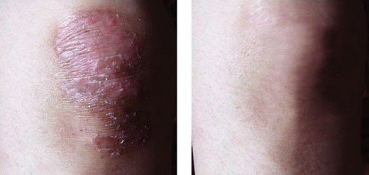
【成功案例】
体癣治疗前后的对比图
《《《点击这里,专家免费为您做出专业性的解释》》》
以上是我院关于“体癣症状是如何体现的”内容之介绍,希望能给广大的朋友带来有效的帮助。最后专家提醒大家:得了体癣,一定要找正规的医院进行早期治疗,以免错过的治疗的最好时期。如果您还有更多的关于体癣如何治疗效果好的问题,欢迎与专家在线咨询。

★在线免费咨询——权威皮肤病专家24小时在线一对一“问诊”
★提前预约挂号——免专家挂号费、免会诊费、优先就诊,轻松就医。
★假日专家门诊——方便患者休息日看病,不影响上班,提供更人性化服务。
医院电话:0791-88116677 接诊时间: 8:00-17:30(节假日不休)
QQ:77891588
医院地址:江西省南昌市西湖区站前西路49号、173号
自家车线路:江西省南昌市西湖区站前西路49号、173号即到。
乘车路线:乘坐5路、6路、18路内线、18路外线、26路内环、26路外环、206路、219路长班空调、221路空调、225路长班空调、 230路空调、233长班、233路、305路、305夜、310路、316路到市公交总公司下车即可。
- 上一篇:体癣康复中的症状是如何体现的
- 下一篇:体癣愈合中的图片是怎么样的
- ★★★★★
- 5.0
- 5.0
- 5.0
- 我要评论