ÄϲýµãÕ󼤹âÈ¥¶»¿ÓЧ¹û
À´Ô´£ºÄϲýÖÐɽƤ·ô²¡Ò½Ôº¡¾×¨¼ÒÔÚÏß×Éѯ¡¿

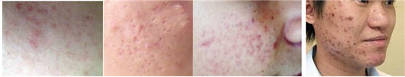
ÔÚ¾¹ýÒ»·¬Õ½‘¶»’´óÈüºó£¬Á³ÉϵĶ»¶»ËäÈ»Ïû³ýÁË£¬µ«ÊǶ»Ó¡¶»°ÌÈ´²ÐÁôÏÂÀ´£¬Èç¹û˵ֻÁô϶»Ó¡Äǵ¹»¹ºÃ£¬Æ½Ê±ÓÃЩÕÚ覵Ļ¯×±Æ·»¹ÄÜÃãÇ¿µ²Ò»µ²£¬¿ÉÊǶÔÓÚÄÇЩ°¼Ïݵİ̺ÛÀ´ËµÏëÕÚס¾Í²»ÊÇÄÇôÈÝÒ×ÁË¡£ÑÛ¿´×ÅÁ³É϶»¶»°ÌºÛÈÃÔ±¾Æ¯ÁÁµÄÁ³µ°´óÉ··ç¾°Ò²ÊøÊÖÎ޲ߣ¬ÁôÏÂÒź¶ºÍÎÞÄΡ£¶ÔÓÚ°®ÃÀÈËÊ¿À´Ëµ¿´×űðÈ˹â½àÎÞϾµÄÁ³µ°£¬×Ô¼ºÈ´ÊÇÒ»Á³¿Ó¿ÓÍÝÍÝ£¬ÕâÕæÊÇĪ´óµÄÍ´¿à£¬ÄÇôʲô·½·¨¿ÉÒÔ°²È«ÓÐЧµÄìî³ý¶»°ÌÄØ?
¶»Ó¡¶»¿ÓµÄÖ¢×´±íÏÖ
µãÕ󼤹âÈ¥³ý¶»°ÌЧ¹ûÔõôÑù£¿µã»÷×ÉѯÔÚÏßר¼Ò
¶»°ÌÖÎÁÆ--ÖØËÜö¦ÀöÃÀ¼¡
°®ÃÀÈËʿ˶¼²»Ïë¿´µ½×Ô¼ºÂúÁ³¿Ó¿ÓÍÝÍÝ£¬ËùÒÔìî³ý¶»°ÌÊǽôÒªµÄ£¬ºÜ¶àÈËΪÁËìî³ý¶»°Ì£¬³¢¾¡Á˸÷ÖÖÃÀÈݲúÆ·¿ÉÊÇÈ´ÈÔÈ»¿´²»µ½Ð§¹û£¬·´¶øÈü¡·ô±äµÃ¸ü²î£¬ÄÇôÈçºÎÕýÈ·µÄÖÎÁƶ»°ÌÖØËÜö¦ÀöµÄÈÝÑÕÄØ?¾Ýר¼Ò±íʾÏÖÔÚÊг¡ÉÏÓкܶàÈ¥¶»°ÌµÄÖÎÁÆ·½·¨£¬Ä¿Ç°Ð§¹ûÀíÏëÓÖ°²È«µÄ·½·¨Óм¤¹âÁÆ·¨£¬Ëü¿ÉÒÔÈÃÄú¿ìËÙ°²È«µÄ°ÚÍÑÄÕÈ˶»°Ì£¬»Ö¸´¹â»¬Ï¸Ä弡·ô¡£
¼¤¹âÖÎÁƶ»°ÌÊÇÀûÓü¤¹âµÄ°þÍÑÐÔµÄÏÔЧÐÔ£¬Í¨¹ý¼¤¹â¶ÔÓÚ¼¡·ôµÄ´Ì¼¤ÔÚ³¬Ï¸ÏÔ΢¾µ¼¼ÊõϲúÉú²»Í¬Éî¶ÈµÄ΢С¹â°ß£¬²ÉÓþ۽¹ÐÍÏñËØ¹âѧ¼¼Êõ£¬ÀûÓÃÖÜΧδËðÉ˵Ä×éÖ¯´Ù½øÓúºÏ£¬ÔÚÖÎÁƶ»°ÌµÄͬʱ£¬»¹¿ÉÒÔÓÐЧµÄ¸ÄÉÆÆ¤·ôë¿×´Ö´óÎÊÌ⣬ʹ¼¡·ô¸ü¼ÓµÄϸÖÂÈ󻬣¬¹â½àÈçË¿¡£
É䯵±íƤ¼¤¹âÖØ½¨Êõ——Èö»°ÌͶ½µ
1¡¢¼¤¹âìî¶»°Ì¿ìËÙ¡¢°²È«¡¢¸±×÷ÓÃС¡£
2¡¢¼¤¹âìî¶»°ÌÖÎÁÆ¿ì½Ý·½±ã£¬¶ÔƤ·ô´Ì¼¤Ð¡£¬ÖÎÁƹý³Ì½ÏΪÇáËÉ¡£
3¡¢¼¤¹âìî¶»°Ì¼ûЧ¿ì¡¢ÁƳ̶̡£
ÄϲýÖÐɽƤ·ô²¡Ò½Ôº×¨¼Ò±íʾ£¬¶»¿ÓÊÇÕæÐ԰̺ۣ¬Ò»µ©ÐγÉÎÞ·¨½øÐÐ×ÔÎÒÐÞ¸´£¬½ÓÊÜרҵÖÎÁƲÅÄܱ£Õ϶»¿ÓÓÐЧ»Ö¸´£¬Ä¿Ç°³£¼ûµÄ¶»¿ÓÐÞ¸´·½·¨ÓÐÒÔϼ¸ÖÖ£º
Ò»¡¢Ò©ÎïͿĨÖÎÁÆ
²¿·Ö»¼ÕßÔÚ¶Ô¿¹¼²²¡Ê±£¬³öÓÚ·½±ã¡¢¼õÇáÖÎÁÆÍ´¿à¡¢½ÚÊ¡ÖÎÁÆ·ÑÓÃµÈ¶à·½ÃæÒòËØ£¬Ï°¹ßÐÔµÄÓÅÏÈÑ¡ÔñÓÃÒ©ÎïͿĨ·¨½øÐÐÖÎÁÆ¡£Ò©ÎïͿĨÖÎÁƶÔÇá΢¼ÙÐ԰̺ÛÐÞ¸´Äܹ»»ñµÃ½ÏºÃÐÞ¸´Ð§¹û£¬¶ø¶»¿ÓÊôÓÚÕæÐ԰̺ۣ¬Ò»µ©Ðγɣ¬¿¿Ò©ÎïͿĨ£¬Æð²»µ½ÓÐЧ×÷Óá£
¶þ¡¢´«Í³´Ì¼¤ÀíÂÛÐÞ¸´¶»¿Ó
ÀûÓÃËðÉËÐÞ¸´ÔÀí£¬´Ì¼¤¶»¿Óµ×²¿µÄȱʧ×éÖ¯ÏòÉÏÔöÉú£¬ÀûÓÃÐÂÉú×éÖ¯À´ÌîÆ½¶»¿Ó¡£´«Í³¼¤¹âÐÞ¸´ÒÔÈ˹¤½øÐнϴóÃæ»ýµÄ×éÖ¯°þÍѵķ½Ê½½øÐУ¬È»¶øÕâÖÖ·½·¨¶ÔƤ·ôµÄÆÆ»µÐԴ󣬻áÒý·¢ºÜ¶à²¢·¢Ö¢£¬Èç¸ÐȾ¡¢°ÌºÛ¡¢É«ËسÁ×ŵȣ¬²¢ÇÒÐèÒªºÜ³¤µÄ»Ö¸´Ê±¼ä£¬Õû¸öÖÎÁƹý³Ì»¼ÕßÐèÈÌÊܽϴóÍ´¿à¡£
Èý¡¢É䯵±íƤ¼¤¹âÖØ½¨Êõ——ÍêÃÀÐÞ¸´Íç¹Ì¶»¿Ó
É䯵µãÕ󼤹â±íÆ¤ÖØ½¨ÊõÀíÂÛÓÉÃÀ¹ú¹þ·ð´óѧµÄ¼¤¹âҽѧר¼Ò£¬Í¨¹ý¸ßÐÔÄܵãÕ󼤹â²úÉúÕóÁÐÑùÅÅÁеÄ΢С¹âÊø×÷ÓÃÓÚÆ¤·ô£¬Æ¤·ô×é֯ˮÎüÊÕ¼¤¹âÄÜÁ¿ºó£¬Ðγɶà¸öÖùÐνṹµÄ΢СÈÈËðÉËÇø£¬ÔÚ±íÆ¤ÐγÉÒ»¸öÓɼ¤¹â×÷ÓõãÕó¼ä¸ô×é³ÉµÄׯÉÕÇø£¬¿ÉÖ±½Ó´©Í¸ÖÁÕæÆ¤²ã£¬ÔÚ˲¼äÆø»¯µôÖåÎÆ»ò°ÌºÛ´¦µÄ×éÖ¯£¬Í¬Ê±´Ì¼¤½ºÔµ°°×µÄÔöÉú£¬½ø¶øÆô¶¯×éÖ¯ÐÞ¸´¡¢½ºÔÖØÅŵÈһϵÁм¡·ô·´Ó¦£¬ÓÐЧÐÞ¸´Íç¹ÌÐÔ¶»¿Ó¡£
É䯵±íƤ¼¤¹âÖØ½¨Êõ»¼ÕßÖÎÁƵĹý³ÌÖÐ
¸Ã¼¼ÊõÖÎÁÆÇà´º¶»»á²»»áÉËÆ¤·ô£¿µã»÷×ÉѯÔÚÏßר¼Ò
É䯵µãÕ󼤹â±íÆ¤ÖØ½¨Êõ4´óÓÅÊÆ
1.³¬Ç¿²¨³¤ÍþÁ¦£ºÓ봫ͳ¼¤¹â²úÉúµÄƬ״ÈÈËðÉ˲»Í¬£¬É䯵µãÕ󼤹â±íÆ¤ÖØ½¨Êõÿ¸öMTZ ÖÜΧÐγɻ·ÐÎ×éÖ¯Äý¹Ì´ø»òÈÈËðÉË´ø£¬ÔÚÍâÖÜΪδËðÉ˵ÄÕý³£×éÖ¯£¬´Ó¶øÊ¹ÖÎÁÆºóÆ¤·ôÄÜ¿ìËÙ»Ö¸´£¬ÎÞÐèÐݼ١¢ÎÞ´«Í³°þÍÑÐÔÖÎÁƵķçÏÕ¡£
2.ÖÎÁÆÎÞÉ˺¦£ºÊä³ö¼ä¸ôʱ¼ä1-999ms¿Éµ÷µÄÂö³åCO2¼¤¹â£¬Äܸù¾ÝÁÙ´²µÄÐèҪѡÔñ²»Í¬µÄ¼ä¸ôʱ¼äÀ´½øÐÐÖÎÁÆ£¬µ±Ñ¡Ôñ999ms¼ä¸ôʱ¼äÊä³öʱ£¬¿ÉÒÔ×÷Ϊµ¥´ÎÊä³ö½øÐÐÖÎÁÆ£¬ÌرðÊʺÏÓÚÖ»ÐèÒªÒ»¸ö¼¤¹âÂö³åµÄÖÎÁÆ£¬ÈçÔÚÈËÌå×é֯ij¸ö²¿Î»´òÒ»¸öºÜС¡¢ºÜϸµÄС¿×¡£µ±¼¤¹âÊä³ö¼ä¸ôʱ¼äµ÷Ϊ×îСֵ1msʱ£¬¼´Ê¹ÔÚºÜС¼¤¹â¹¦ÂʵÄÇé¿öÏ£¬Ò²ÄÜ´ïµ½ºÜºÃµÄÇиîЧ¹û£¬±ÈÁ¬Ðø¼¤¹âÇиîÄÜÁ¦Ç¿£¬¶Ô×éÖ¯µÄÌ¿»¯Ð¡¡¢ËðÉËС£¬ÉË¿ÚÈÝÒ×ÓúºÏ¡£
3.¸öÐÔ»¯ÖÎÁÆ£ºÊä³öƵÂÊ1-999Hz¿Éµ÷µÄ³¬Âö³åCO2¼¤¹â¡£³¬Âö³åCO2¼¤¹â¾ßÓиßÄÜÁ¿¡¢¸ßÖØ¸´ÆµÂÊ¡¢¸ß¹¦ÂÊÃܶȵÈÌØµã£¬¸ßÄÜÁ¿"À伤¹âÊø"ÄÜ×î´óÏ޶ȼõÉÙ¼¤¹â¶ÔÕý³£×éÖ¯µÄËðÉË£¬¾ßÓв»½Ó´¥×éÖ¯¡¢²»³öѪ»òºÜÉÙ³öѪ£¬¾«Ï¸Çи¾«È·°þÀë×éÖ¯µÄ¹¦ÄÜ£¬ÌرðÊʺÏÓڰ̺ÛÐÞ¸´¡£ÈçÉÕÌÌÉ˰̺ۡ¢ÊÖÊõ°ÌºÛ¡¢°¼Í¹°ÌºÛ¡¢Æ½ÃæÉ«Ëذ̺۵ȵȡ£
4.°²È«ÎÞÓÇ£º²ÉÓÃÎÞÐòɨÃ跽ʽ(·ÇÏßÐÔɨÃè¼¼Êõ)·¢É伤¹â£¬¿ÉÒÔ×î´óÏ޶ȼõÉÙɨÃèÇøÓòÈÈËðÉË¡£Í¨¹ýϵͳÅäÖõĸßËÙͼÐÎɨÃèÆ÷£¬Êä³ö²»Í¬ÐÎ×´µÄͼÐΣ¬¿É¸ù¾Ý²»Í¬»¼ÕßµÄÐèÇó£¬Ìṩ¸öÐÔ»¯µÄÖÎÁÆ·½°¸¡£
¶»°ÌÖÎÁÆÐèҪעÒâµÄÊÇ£º
1¡¢ÔÚÖÎÁƶ»°ÌÎÊÌâµÄʱºòÐèÒªÏÈÖκö»¶»£¬Èö»¶»²»ÔÙ³¤¡£²»È»Ò»±ßÖÎÁƶ»°Ì£¬Ò»±ßÐµĶ»¶»ÓÖð³öÀ´£¬¾Í²»Äܵõ½ºÃµÄ¶»°ÌÖÎÁÆÐ§¹û¡£
2¡¢Ôи¾ÒÔ¼°¶Ô¹â¹ýÃôÕß¡¢¶Ô¹âÃô¸ÐÕߺͽüÆÚÓùý¹âÃô¸ÐÒ©Îï(ά¼×ËáÀà¡¢ËÄ»·ËصÈ)µÄÈ˽û¼É¡£
3¡¢¾¼¤¹âÖÎÁƺó»áÓÐ°ÌÆ¤²úÉú£¬°ÌƤҪÈÃËü×ÔÐÐÍÑÂ䣬²»ÒªÇ¿ÐÐìî³ý£¬²¢ÇÒÔÚ°ÌÆ¤ÍÑÂäºó±ÜÃâÑô¹â±©É¹¼°·çɳµÄ´Ì¼¤¡£
4¡¢¼¤¹âÈ¥¶»°Ìºó»¹Ó¦×¢ÒⲻҪʹÓÃÁÓÖÊ»¯×±Æ·ÒÔ¼°»»·ô¡¢ÍÑÆ¤²úÆ·¡£ÇÒºó°ëÄêÄÚ²»¿ÉÈ¥½ÇÖÊ¡¢ÕôÉ£Äõȡ£
5¡¢¿É¶àʳº¬ÓÐάÉúËØCºÍEµÄʳÎï»ò¿Ú·þάÉúËØC£¬¾¡Á¿ÉÙ³Ô½´ÓÍ¡¢Å£Èâ¡¢½´²Ë¡¢Ïº¡¢Ð·¡¢¾Æ¡¢¿§·ÈµÈ´Ì¼¤ÐÔʳƷ¡£
6.ÔÚÊõºóÈý¸öÔÂÄÚ¶¼Òª×¢Òâ·Àɹ·À×ÏÍâÏߣ¬³öÃÅǰ×îºÃͿĨ·Àɹ˪¡£
¡¾¿µ¸´°¸Àý¡¿ Ò»ÔÂÖÎÓú¶»Ó¡ÍçÖ¢ Çà´ºÉÙÅ®¾ªÌ¾ÉñÆæÒ½Êõ
Äϲýij¸ßУµÄСѩ»¼¶»Ó¡¶àÄê£¬Ôøµ½¹ý¶à¼ÒÒ½ÔºÖÎÁÆ£¬ÓÉÓÚ·½·¨²»¶Ô·£¬ÌرðÊDz»Êʵ±µØÓÃÁË´óÁ¿µÄ¼¤ËØ£¬²¡Çé·Çµ«Ã»ÓмõÇᣬ·´¶øÔ½À´Ô½ÖØ¡£Ò»´ÎżȻµÄ»ú»á£¬Ð¡Ñ©Í¨¹ýÍøÂç²éѯ£¬ÖªµÀÁËÄϲýÖÐɽƤ·ô²¡Ò½ÔºÊÇÒ»¼ÒÖªÃûƤ·ô²¡×¨ÒµÒ½Ôº£¬ÓÐ×ÅÖÎÁƶ»Ó¡µÄÏȽø¼¼Êõ£¬²¢ÓдóÁ¿µÄ³É¹¦°¸Àý£¬±ãĽÃûǰÀ´¾ÍÕï¡£
µ½ÔººóÖ÷ÖÎר¼ÒΪСѩ×öÁËÈ«Ãæ¿ÆÑ§µØ¼ì²é£¬¸ù¾Ý²¡Ç飬ΪËý²ÉÓÃÁËÎÒÔº×ÔÖ÷Ñз¢µÄ“É䯵µãÕ󼤹â±íÆ¤ÖØ½¨Êõ”½øÐÐÖÎÁÆ£¬ ÄÚ·þÇåÈȽⶾ¡¢ìî·ç³ýʪ¡¢Êè¸ÎÀíÆø£¬·¢»ÓÖÐÒ½±ê±¾¼æÖεÄÓÅÊÆ£¬×ÛºÏÖÎÁƶ»Ó¡£¬½öÓÃÒ»¸öÔ£¬¾ÍÍêÈ«ÖκÃÁËСѩµÄ¶»Ó¡¡£Õ½Ê¤“¶»Ó¡”³É¹¦ºóµÄÐ¡Ñ©ÃæÈݹâÔó×ÌÈ󡢯¤·ôƽ»¬Ï¸ÄÛ¡¢¾«Éñ±¥ÂúÛÇîå¡£¶ÔÓÚÄÜÕâô¿ì¾ÍÖκÃ×Ô¼º¶àÄêµÄÍçÖ¢£¬Ëý±íʾ¼È¾ªÏ²Óָм¤¡£
ÈçºÎÑ¡Ôñ×îºÃµÄÒ½ÔºÖÎÁÆ£¿
³öÏÖÇà´º¶»(¶»Ó¡¡¢·Û´Ì)ʱ£¬ÇÐÎðÔÚûÓмá³ÖÇå³þ¾Í×ÔÐÐÓÃÒ©¼°Æ´Ãü¼·Ñ¹£¬ÌرðÊdzöÏÖÔÚÃæ²¿µÄ¶»¶»£¬²Ù×÷²»µ±ÈÝÒ×ÁôÏÂñ£ºÛ¡£ÄϲýÖÐɽƤ·ô²¡Ò½ÔºÌáÐÑÄú£ºÒ½ÔºµÄ×ÊÖÊ¡¢ÁÙ´²¾Ñé¡¢Ò½ÁÆÉ豸¡¢»·¾³ÎÀÉú¡¢ÖÎÁÆ·½·¨µÈ¶¼¶Ôðî´¯ÖÎÁÆÐ§¹ûÓ°ÏìºÜ´ó£¬Òò´Ë£¬ÖÎÁÆÇà´º¶»ÒªÑ¡ÔñÕý¹æ×¨ÒµµÄÒ½Ôº¡£
1.¿´Ò½Ôº×ÊÖÊ£ºÄϲýÖÐɽƤ·ô²¡Ò½ÔºÊǹú¼ÒÕý¹æÈý¼¶Æ¤·ô²¡Ò½Ôº£¬×¨×¢ÓÚÆ¤·ô²¡µÄÑо¿ºÍÖÎÁÆ¡£ÊǽÎ÷ʡһËù¼¯Ò½ÁÆ¡¢½Ìѧ¡¢¿ÆÑС¢¿µ¸´µÈΪһÌåµÄƤ·ô²¡Ò½Ôº£¬ÉîÊܽÎ÷¼°ÖܱßÊ¡ÊÐÇà´º¶»»¼ÕßµÄϲ°®¡£
2.¿´Ò½Éú¼¼Êõ£ºÆ¤ÑÐËùÓµÓÐ×îÇ¿´óµÄר¼ÒÍŶӣ¬ÊìÁ·ÕÆÎÕÇà´º¶»ÏȽøÖÎÁƼ¼Êõ£¬Òý½øÄϲýÖÐɽר¼Ò¼¼Êõ“ÖÐÎ÷Ò½ÎåÁªÇå¶»Ó¡ÁÆ·¨”ÖÎÁÆÇà´º¶»£¬¸üÏÔÓÅÊÆ¡£ÈÃÇà´º¶»»¼ÕßÔÚÖÎÁƹý³ÌÖиü¼Ó°²È«¸ßЧ¡£
3.¿´Ò½ÔºÓ²¼þ£ºÄϲýÖÐɽ²»Ï§¸ß¼ÛÒý½ø¹úÍâ¶àÖÖÖÎÁƸßÐÂÉ豸£¬ÖÎÁƹý³ÌûÓÐÍ´¿à¡¢ÎÞ¸±×÷Óᢷ½±ã¿ì½Ý£¬ÊÇÄúÖÎÁÆÇà´º¶»×îÀíÏëµÄÑ¡Ôñ¡£
4.¿´Ò½Ôº¿Ú±®£ºÄϲýÖÐɽƤ·ô²¡Ò½Ôº×Ô³ÉÁ¢ÒÔÀ´£¬Ê¼ÖÕ¼á³Ö“ÒÔ»¼ÕßΪÖÐÐÄ”£¬´óÁ¦ºëÑï°×Çó¶÷¾«Éñ£¬Â½ÐøÍƳö¿´²¡Ô®ÖúµÈ¹«Òæ»î¶¯£¬°ïÖúÀ§ÄÑ»¼Õß¼õÇḺµ££¬Ò²Ó®µÃÁË»¼ÕߵĹã´óºÃÆÀ¡£
ÄϲýÖÐɽƤ·ô²¡Ò½ÔºÍÆÐÐÒÔÈËΪ±¾µÄ·þÎñÀíÄ×ðÖØºÍ±£»¤»¼ÕߵĸöÈËÐÅÏ¢ºÍÒþ˽¡£³«µ¼"ÓÃÐÄÇãÌý¡¢Ï¸ÐÄÕï¶Ï¡¢ÄÍÐĽâ´ð¡¢¾«ÐÄÖÎÁÆ¡¢ÈÈÐÄ·þÎñ¡¢ÖÔÐÄ×£¸£"µÄ"ÁùÐÄ" ·þÎñ¡£Ò½Ôº²»¶ÏÍêÉÆÒ½ÁÆÖÊÁ¿ºÍ°²È«¿ØÖÆÌåϵ£¬ÑÏ·ÀÒ½ÁÆÊ¹ʣ¬±£ÕÏÒ½Áư²È«£¬Ìá¸ßÒ½ÁÆ·þÎñµÄ°²È«ÐÔºÍÓÐЧÐÔ¡£²ÉÓùú¼ÊÁ÷ÐГһ»¼Ò»Ò½Ò»ÕïÊÒ”µÄ˽ÃÜÎÊÕïÖÆ¶È£¬È«³ÌÈËÐÔ»¯·þÎñ£¬¾ÍÕï»·¾³¶ÀÁ¢¡¢°²È«£¬¼õÇỼÕß¾ÍҽѹÁ¦£¬±£»¤ÁËÿ¸ö»¼ÕßµÄÒþ˽¡£
ÌØ±ðÌáʾ£ºÒªÏëÖÎÁƺü²²¡£¬»¼ÕßÊ×ÏȾÍÒªÊ÷Á¢ÐÅÐÄ£¬È»ºó»ý¼«ÅäºÏÒ½ÉúÖÎÁÆ£¬Ñϸñ°´ÕÕÒªÇóÖ´ÐУ¬ÕâÑù²ÅÄܵõ½¸ü¿ìµÄ¿µ¸´£¬»¼ÕßÈç¹ûÓÐʲô²»Êæ·þµÄµØ·½£¬Ò»¶¨Òªµ½Ò½Ôº¼ì²é¾ÍÕÒòΪ¼²²¡²»»áÒòΪÄúµÄÍÏÑÓ¶øºÃµÄ£¬µ«Êǿ϶¨»áÒòΪ²»¼°Ê±ÖÎÁƶø¼ÓÖØ£¬ËùÒÔ¼°Ê±¾ÍÒ½£¬Ôç¼ì²é£¬ÔçÖÎÁÆÊÇ×îºÃµÄ¡£
ÔÚÏß×ÉѯԤԼ¾ÍÕïÓÅÊÆ
¡ïÔÚÏßÃâ·Ñ×Éѯ——ȨÍþƤ·ô²¡×¨¼Ò24СʱÔÚÏßÒ»¶ÔÒ»“ÎÊÕï”
¡ïÌáǰԤԼ¹ÒºÅ——Ãâר¼Ò¹ÒºÅ·Ñ¡¢Ãâ»áÕï·Ñ¡¢ÓÅÏȾÍÕÇáËɾÍÒ½¡£
¡ï¼ÙÈÕר¼ÒÃÅÕï——·½±ã»¼ÕßÐÝÏ¢ÈÕ¿´²¡£¬²»Ó°ÏìÉϰ࣬Ìṩ¸üÈËÐÔ»¯·þÎñ¡£
ÎÂܰÌáÐÑ£ºÄϲýÖÐɽƤ·ô²¡Ò½Ôº»ã¾ÛÈ«¹úƤ·ô¿ÆÃûÒ½£¬Òý½øÒ»Á÷µÄÕïÁÆÉ豸£¬´òÔ컪¶«µØÇø“ר²¡¡¢×¨Ò½¡¢×¨ÖΔ×îרҵµÄƤ·ô²¡ÕïÁÆ»ùµØ¡£ÎªÁËÂú×㻼ÕߵľÍÒ½ÐèÇó£¬ÌØ¿ªÍ¨ÁËÃâ·ÑÍøÉÏ×ÉѯÓëÔ¤Ô¼£¬¸ü¼Ó·½±ã¿ì½ÝµÄΪ»¼Õß·þÎñ¡£ÍøÂçÈ«ÌìºòÕï£¬ÍøÉϹҺÅÖ±½Ó¾ÍÕÎÞÐèµÈºò£¬Îª¹ã´ó»¼Õß½Úʡʱ¼ä£¬ÊÇÆ¤·ô²¡»¼Õß×îÖµµÃÐÅÀµµÄÒ½Ôº¡£¡£
Ò½Ôºµç»°£º0791-88116677 ½ÓÕïʱ¼ä£º 8:00-17:30(½Ú¼ÙÈÕ²»ÐÝ)
QQ£º77891588
Ò½ÔºµØÖ·£º½Î÷Ê¡ÄϲýÊÐÎ÷ºþÇøÕ¾Ç°Î÷·49ºÅ¡¢173ºÅ
³Ë³µÂ·Ïߣº³Ë×ø5·¡¢6·¡¢18·ÄÚÏß¡¢18·ÍâÏß¡¢26·ÄÚ»·¡¢26·Íâ»·¡¢206·¡¢219·³¤°à¿Õµ÷¡¢221·¿Õµ÷¡¢225·³¤°à¿Õµ÷¡¢ 230·¿Õµ÷¡¢233³¤°à¡¢233·¡¢305·¡¢305Ò¹¡¢310·¡¢316·µ½Êй«½»×ܹ«Ë¾Ï³µ¼´¿É¡£
×Ô¼Ò³µÏß·£º½Î÷Ê¡ÄϲýÊÐÎ÷ºþÇøÕ¾Ç°Î÷·49ºÅ¡¢173ºÅ¼´µ½
- ÉÏһƪ£ºÇà´º¶»°ÌºÛÈçºÎ»¤Àí
- ÏÂһƪ£º»¼ÉÏÇà´º¶»ºó¸ÃÔõô°ì
- ¡ï¡ï¡ï¡ï¡ï
- 5.0
- 5.0
- 5.0
- ÎÒÒªÆÀÂÛ