毛囊炎综述
来源:南昌中山皮肤病医院【专家在线咨询】

毛囊炎在人们的是日常生活中已经是比较常见的皮肤病了,它的发病原因是十分复杂的,症状也是各异的,并且毛囊炎的病情又是十分的容易出现反复发作的现象,这就让毛囊炎患者承受了巨大的心理压力。>>>看文章太累,不如直接咨询在线医生<<<
毛囊炎的病因:
1.人体表面,除了掌跖和一些黏膜周围的皮肤外,其他皮肤都有或长或短,或粗或细的毛,在每一根毛的皮内部分都有一个毛囊。如果毛囊被金黄色葡萄球菌感染,表面出现红色丘疹、脓疱就叫毛囊炎。
2.毛囊炎是化脓性球菌侵犯毛囊口周围,局限于毛囊上部的炎症,分为化脓性与非化脓性两种,多见于免疫力低下者或糖尿病患者,好发于头部、项部。毛囊炎初起为红色充实性丘疹,以后迅速发展成丘疹性脓疮,继而干燥、结痂,痂脱不留痕迹。皮疹数目多,但不融合,自觉瘙痒或轻度疼痛。
毛囊炎的症状:
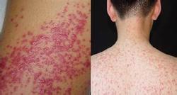
1.毛囊炎初发时一般散发在病发部位,外部像米粒,颜色表现为鲜红色或深红色毛囊性丘疹,在这些丘疹中心贯穿毛发,而且患病部位周缘有炎性红晕,并且很快就会酿成脓包。当脓包破裂后会排出少量脓液和血浆,部分炎症消退后不留疤痕。
2.毛囊炎病发部位不同,表现也就不同,头部毛囊炎,治愈后会出现米粒至指甲大的斑秃斑,最让人可恨的是患处再也不生发,这被称为秃发性毛囊炎;有的毛囊炎深部相互贯通而融合成片,被称为穿凿性毛囊炎;还有乳房状毛囊炎,这是由于部位特殊常增殖呈乳房状硬结。
毛囊炎的治疗:
1、局部治疗:原则以杀菌、消炎、促吸收为主。早期外用软膏,脓肿形成毛囊炎(2张)可切开排脓,未成熟前严禁挤压。
2、全身治疗:全身症状显著者给予抗菌药,多选用磺胺类药物或红霉素,口服复合维生素。
3、物理疗法:可用紫外线、红外线照射,或用氦氖激光治疗。
毛囊炎的护理:
1.检查毛囊炎的发病原因,如果是因原有疾病导致的,应积极治疗引发毛囊炎的原有疾病,防止毛囊炎的再次发生或恶化。
2.注意个人卫生,保持皮肤以及贴身衣物的清洁,以免导致毛囊炎的发生或加重。还要一定要注意,在清洁时,应使用温水,并轻轻按摩患处,禁止搔抓。
3.注意饮食,饮食保持清淡,不能吃刺激性大的食物,以免增加体内湿热,导致毛囊炎恶化。
毛囊炎的危害:
1.影响形象:毛囊炎易发生于头、面、颈、四肢等多毛部位,并且这些部位有常裸露在外,对患者的形象造成严重影响。
2.瘙痒:毛囊炎的瘙痒症状,给患者带来身心上的折磨。
3.迁延难愈:反复发作,可发展为慢性毛囊炎。
4.永久性脱发:发生于头部的毛囊炎,如果不及时治疗,可导致永久性脱发;
5.并发症:毛囊炎向深发展,可发展为毛囊周围炎,可伴有淋巴结肿大、发热、头痛等症状,甚至可引发败血症。
6.死亡:如果挤压生长在唇、鼻部位的疖肿,可使病菌进入颅内,严重者可导致死亡。
为保证诊疗品质,到我院患者全部由专家一对一亲自接诊,留足和患者的交流时间,在充分沟通后制定针对性的治疗方案,并全程跟踪治疗,及时调整治疗方案,以保证疗效。
南昌中山皮肤病医院医院统一按照物价部门核定的标准收费。费用透明公开,严格遵循国家收费标准红头文件。
这些就是关于毛囊炎综述的详细描述,希望可以帮助患者朋友早日根除疾病,如果您还有其他疑惑或者不懂的地方,都可以咨询 南昌中山皮肤病医院的专家,或者拨打 南昌中山皮肤病医院热线0791-88116677,我们的专家会以高度责任心和丰富的临床经验为您解答疑问。
南昌中山皮肤病医院是全国十佳皮肤病医院,南昌市重点皮肤病诊疗中心,多次受到南昌市卫生局等相关部门的嘉奖和鼓励,并获得许多的荣誉称号!
温馨提示:南昌中山皮肤病医院汇聚全国皮肤科名医,引进一流的诊疗设备,打造华东地区“专病、专医、专治”最专业的皮肤病诊疗基地。为了满足患者的就医需求,特开通了免费网上咨询与预约,更加方便快捷的为患者服务。网络全天候诊,网上挂号直接就诊,无需等候,为广大患者节省时间。
★在线免费咨询——权威皮肤病专家24小时在线一对一“问诊”
★提前预约挂号——免专家挂号费、免会诊费、优先就诊,轻松就医。
★假日专家门诊——方便患者休息日看病,不影响上班,提供更人性化服务。
医院电话:0791-88116677 接诊时间: 8:00-17:30(节假日不休)
QQ:77891588
医院地址:江西省南昌市西湖区站前西路49号、173号
自家车线路:江西省南昌市西湖区站前西路49号、173号即到。
乘车路线:乘坐5路、6路、18路内线、18路外线、26路内环、26路外环、206路、219路长班空调、221路空调、225路长班空调、 230路空调、233长班、233路、305路、305夜、310路、316路到市公交总公司下车即可。
- ★★★★★
- 5.0
- 5.0
- 5.0
- 我要评论