丘疹性荨麻疹的症状是什么
来源:南昌中山皮肤病医院【专家在线咨询】

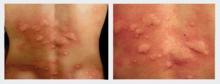
丘疹性荨麻疹的症状是什么?专家指出:皮疹很像水痘,有的人不认识,常把它和水痘混淆起来,但水痘常有发烧,口腔粘膜也可发生损害,头面部皮疹往往较多,丘疹性荨麻疹常发于四肢,躯干颈部或臀部,不规则散在或成群分布,一般都有明显瘙痒,夜间尤重。经过适当治疗,一般一周左右可以治愈,但往往反复发作,有时抓破以后可以继发细菌感染或形成脓疱疮,给病儿造成很大痛苦。
丘疹性荨麻疹常在春夏秋暖和季节发病,丘疹性荨麻疹症状主要发生于一岁以上的儿童及青少年,尤以学龄期前更为多见。本病往往好发在躯干、四肢伸侧,但头面部较少被波及。皮损表现为风团丘疹或风团水疱。典型损害,其风团状似纺锤形,中央有小丘疹或水疱。
丘疹性荨麻疹的症状是什么?丘疹性荨麻疹自觉不痒或轻痒,但患者往往有低烧等全身症状。丘疹性荨麻疹与荨麻疹鉴别,前者不是单纯风团,而是混合性损害,即风团丘疹或风团水疱。常因搔抓而继发脓疱疮等化脓性皮肤病,但通常无全身症状,局部浅淋巴结也不肿大。本病可随着年龄增加或复发次数增多而病情逐渐缓解,直至不再发病。>>>点击咨询专家了解详情<<<
针对,丘疹性荨麻疹主要有哪些症状我们有了大概的了解。因此,我们养成良好的生活习惯,加强锻炼增强自身免疫力;避免接触刺激性化学药品,避免暴晒等。
针对丘疹性荨麻疹主要有哪些症状,专家提醒:确诊患有荨麻疹之后,一定要及时治疗,不能错过最佳治疗时间。南昌中山皮肤病医院是一家专业治疗皮肤病的医疗机构,我院与国内外多家科研单位进行合作,组织医技开发、研究和指导,并定期邀请国内外知名皮肤病专家前来进行技术交流与协作,在研究领域与国际同步相接轨,被授予 “国家治疗皮肤病重点医疗机构”的荣誉称号,可以帮您解除后顾之忧,保障您的健康。
医院电话:0791-88116677 QQ:77891588 接诊时间: 8:00-17:30(节假日不休)
医院地址:江西省南昌市西湖区站前西路49号、173号
乘车路线:乘坐5路、6路、18路内线、18路外线、26路内环、26路外环、206路、219路长班空调、221路空调、225路长班空调、 230路空调、233长班、233路、305路、305夜、310路、316路到市公交总公司下车即可。
- 上一篇:血疹性荨麻疹皮肤损害表现
- 下一篇:急性荨麻疹症状表现
- ★★★★★
- 5.0
- 5.0
- 5.0
- 我要评论