È·ÕïÝ¡ÂéÕîÐè³¹µ×Çå²éÖ¢×´
À´Ô´£ºÄϲýÖÐɽƤ·ô²¡Ò½Ôº¡¾×¨¼ÒÔÚÏß×Éѯ¡¿

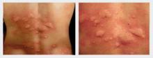
Ý¡ÂéÕË׳Ɠ·çÍÅ”£¬ÊÇÒ»ÖÖ³£¼ûµÄƤ·ô¹ýÃôÐÔ¼²²¡¡£ÓÐ20%µÄÈ˶¼»¼¹ýÝ¡ÂéÕºÜ¶à»¼ÕßÓÉÓÚÕï¶Ï²»Ã÷£¬ÖÎÁƲ»µ±£¬Ôì³É²¡³ÌǨÑÓ·´¸´£¬Öð²½ÑݱäΪÂýÐÔÝ¡ÂéÕƤ·ô²¡×¨¼ÒÖ¸³ö£¬Ý¡ÂéÕî¿É·¢ÉúÔÚÉíÌåµÄÈκβ¿Î»£¬Æð²¡¼±£¬¶øÇÒºÜÑ÷£¬ÓëһЩ¼²²¡µÄÖ¢×´»áÈÝÒ×»ìÏý¡£Òò´Ë£¬»¼ÓÐÝ¡ÂéÕîÐè³¹µ×ÅŲéÖ¢×´£¬¶ÔÖ¢ÖÎÁÆ¡£

È·ÕïÝ¡ÂéÕîÐè³¹µ×Çå²éÖ¢×´
ѰÂéÕîµÄÖ¢×´£º
1¡¢Ý¡ÂéÕî¿É·¢ÉúÔÚÉíÌåµÄÈκβ¿Î»£»
2¡¢Æð²¡½Ï¼±£¬Æ¤·ôÍ»·¢ðþÑ÷£¬Ëæ¼´³öÏÖ·çÍÅ£¬³ÊÏʺì»ò²Ô°×É«¡¢Æ¤·ôÉ«£»
3¡¢·çÍÅ´óСºÍÐÎ̬²»Ò»£»
4¡¢·çÍų£·º·¢È«Éí£¬Ò²¿ÉÔÚij¸ö¾ÖÏÞ²¿Î»£»
5¡¢·çÍÅÔÚÊýСʱºó¼´¿ÉÏûÍË£¬Ò»°ã²»³¬¹ý24Сʱ£¬ÏûÍ˺ó²»ÁôºÛ¼££»
6¡¢ÓоçÑ÷¡¢ÉÕׯ¸Ð»ò´ÌÍ´¸Ð£»
7¡¢¾ÉµÄ·çÍÅÏûÍË£¬ÐµķçÍÅ¿ÉÂ½Ðø·¢Éú£¬´ËÆð±Ë·ü£¬ÓÐʱһÌì·´¸´¶à´Î£»
8¡¢²¡ÇéÑÏÖØµÄ¿É°éÓÐÐĻš¢·³Ôê¡¢¶ñÐÄ¡¢Å»Í¡¢¸¹Í´¡¢¸¹Ðº¡¢ºíÍ·Ë®Öס¢Æø´Ù¡¢ºôÎüÀ§ÄÑ¡¢ÖÏÏ¢¡¢ÑªÑ¹Ï½µ¡¢¹ýÃôÐÔÐݿ˵ȣ»
9¡¢²¡³Ì²»³¬¹ý6ÖܳÆÎª¼±ÐÔÝ¡ÂéÕ´ï6ÖÜÒÔÉϵijÆÎªÂýÐÔÝ¡ÂéÕî¡£
ר¼ÒÖ¸³ö£¬»¼ÓÐÝ¡ÂéÕ»¼Õ߯æÑ÷£¬ÌرðÊÇÔÚÒ¹¼ä£¬ðþÑ÷¸üÖØ£¬Ó°Ï컼Õß˯ÃßÖÊÁ¿£¬½ø¶øÓ°ÏìÆäÕý³£µÄÉú»î¼°¾«Éñ״̬£»Ý¡ÂéÕî»áÒýÆð¶ñÐÄ¡¢Å»Í¡¢¸¹ÐººÍ¸¹Í´µÈ賦µÀ¹¦Äܼ²²¡£»Ý¡ÂéÕÇéÑÏÖØÕߣ¬°éÓÐÐĻš¢·³ÔꡢѪѹ½µµÍµÈ¹ýÃôÐÔÐÝ¿ËÖ¢×´£¬Î£¼°ÉúÃü½¡¿µ¡£Òò´Ë£¬»¼ÓÐÝ¡ÂéÕîÐ輰ʱµ½Õý¹æÒ½Ôº½ÓÊÜ¿ÆÑ§ÁÆ·¨µÄÖÎÁÆ¡£
¡¾ÍƼöÁÆ·¨¡¿ÄϲýÖÐɽƤ·ô²¡Ò½Ôº“3Tͨµ÷ÁÆ·¨”³¹µ×ÖÎÓú¸÷ÖÖÝ¡ÂéÕî
“3Tͨµ÷ÁÆ·¨”¸ù¾ÝÖÐÒ½“²¡ÔÚ¼¡·ô£¬¸ùÔÚѪҺ£¬ÖÎѪ±ØÖÎÔà”µÄÀíÂÛ£¬²ÉÓÃÒ½ÍâÖ稣¨Ñ¨Î»½éÈë¡¢¾»ÑªÁÆ·¨£©¡¢ÃâÒßµ÷½ÚϵͳºÍÖÐҩѬÕô·¨ÍêÃÀÈںϵÄÖÐÒ½ÖÎÁÆÀíÄ²ÉÓÃÏÖ´úÉúÎ﹤³Ì¼¼ÊõÓëÖÐÒ½µÄ²Ý±¾»¯ºÍÎ÷Ò½µÄÏÖ´ú»¯ÁªºÏÓ¦Óá£Õë¶Ô¸÷ÖÖ²»Í¬ÔÒòËùÖÂµÄÆ¤Ñס¢ÊªÕݡÂéÕ²ÉÓøöÐÔ»¯ÁÙ´²ÖÎÁÆ·½°¸£¬¿ÉÒÔ³¹µ×ÖÎÁƸ÷ÖÖÆ¤Ñס¢ÊªÕݡÂéÕî¡£
¡¾ÎÂܰÌùÊ¿¡¿ÎªÁ˸üºÃµÄÔ¤·ÀºÍÖÎÁÆÆ¤·ô²¡£¬»¼Õß×îºÃÄÜÇ×ÁÙ±¾ÖÐÐÄ£¬×¨¼Ò»áΪÄú½øÐÐÈ«ÃæÕï¶Ï£¬È»ºóÖÆ¶¨×îÊʺÏÄúµÄÖÎÁÆ·½°¸£¡Èç¹ûÄúÓиü¶à½¡¿µÎÊÌ⣬»¶Óµã»÷×ÉѯÔÚÏßר¼Ò¡£
- ÉÏһƪ£º°×ñ°·ç»á²»»áÒ»¶¨ÒÅ´«¸øÏÂÒ»´ú
- ÏÂһƪ£º°×ñ°·ç»¼ÕߺÎʱ³ÔË®¹û×î¼Ñ
- ¡ï¡ï¡ï¡ï¡ï
- 5.0
- 5.0
- 5.0
- ÎÒÒªÆÀÂÛ







¿ÆÊÒÒ»ÀÀ










